News

  1. April 24, 2026

    State-of-the-art techniques for complex spinal surgery

    Subspecialized neurosurgeons use predictive analytics, computerized simulations and other tools to provide personalized care. The goal is lasting repair that improves quality of life.

  2. April 24, 2026

    Patient-centered care helps ease the challenges of epilepsy

    Mayo Clinic neurologists conduct comprehensive evaluations and outline the many treatment options for people with epilepsy. Cutting-edge imaging can help patients find answers.

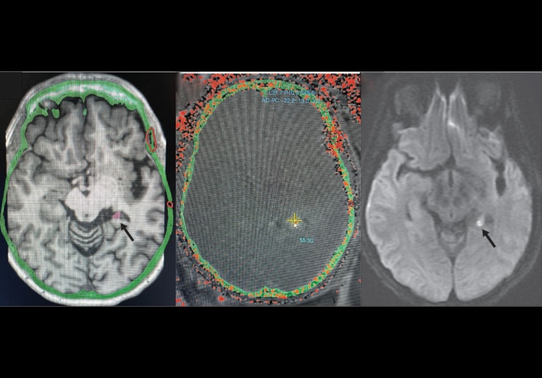
  3. April 24, 2026

    Exploring new pathways for treating medication-refractory epilepsy

    Multicenter clinical studies are testing regenerative therapies that might ultimately help patients avoid surgery. Long-term monitoring of brain activity also is being studied.

  4. April 24, 2026

    Rapidly progressive dementia: A standardized definition

    Mayo Clinic-led research has shown that a uniform definition can distinguish patients with a spectrum of causes of rapidly progressive dementia — and foster early diagnosis of specific diseases.

  5. April 24, 2026

    Moyamoya disease: Multidisciplinary care for a complex disorder

    Mayo Clinic's approach combines the latest technology with strong clinical experience. Subspecialized experts guide every stage of patient care for this subtle disease.

  6. March 24, 2026

    Gene therapy shows promise for treating Dravet syndrome

    Mayo Clinic is part of a research team that discovered a potential treatment for this severe pediatric epilepsy. Study participants had fewer seizures, and other symptoms appeared to improve.

  7. March 24, 2026

    Novel approach helps avoid recurrent trigeminal neuralgia

    The procedure entails moving the offending blood vessel away from the nerve root and anchoring it elsewhere. Felt padding, which can cause ongoing nerve compression, isn't used.

  8. March 24, 2026

    Novel steps help prevent risk in the management of Chiari malformation

    Mayo Clinic's approach avoids unnecessary MRI, visible scarring and opioid use. The goal is to ease young patients' symptoms while minimizing complications.

  9. March 24, 2026

    Signs of progress in the search for DIPG treatment

    Laboratory breakthroughs are paving the way for eventual clinical trials of new approaches. The goal is to extend survival for children with this fatal brain tumor.

  10. Feb. 04, 2026

    Strategies for functional restoration in functional neurologic disorder

    Functional neurologic disorder (FND) stems from network dysregulation, not structural damage. With education, family support and graded rehabilitation, patients can retrain brain-body connections to restore movement and[...]

  11. Jan. 30, 2026

    Potential alternative to intraoperative CT

    Mayo Clinic researchers have shown the feasibility of 3D surface scanning for intraoperative brain imaging. The system eventually could reduce radiation exposure and simplify surgical workflow.

  12. Jan. 30, 2026

    Applying neuroautoimmune expertise to children

    Innovative testing and a multidisciplinary approach can benefit children with neuroautoimmune diseases. Mayo Clinic's pediatric neurologists are part of a team with experience in these challenging conditions.

  13. Jan. 20, 2026

    Expanding neuromodulation for overactive bladder: Tibial, sacral and beyond

    Mayo Clinic researchers are pioneering device-based therapies for overactive bladder, including implantable tibial nerve stimulation — a less invasive alternative to sacral neuromodulation — to reduce treatm[...]

  14. Jan. 16, 2026

    Balancing the risks of antiamyloid therapies

    Mayo Clinic's expertise with amyloid-related imaging abnormalities helps guide safe care for patients with Alzheimer's disease. Imaging and clinical findings factor into decision making.

  15. Dec. 27, 2025

    Neurosurgical options for managing cancer pain

    Neuromodulation and lesioning procedures can improve cancer patients' quality of life. Even select patients with limited life expectancy can benefit from a surgical approach to pain relief.

  16. Nov. 25, 2025

    Seeking new treatment for generalized epilepsy

    Mayo Clinic researchers have developed a neurostimulation device for people with medication-refractory generalized epilepsy. The approach potentially could provide effective therapy for children and adults.

  17. Nov. 25, 2025

    Innovative care for craniosynostosis

    Mayo Clinic surgeons perform single-incision endoscopic repair for infants with the condition. Research aims to limit helmet therapy and enable faster diagnosis.

  18. Nov. 25, 2025

    Applying molecular data to the treatment of brain metastases

    Molecular data can guide the treatment of not only primary cancers but also any subsequent brain metastases. Systemic therapies targeting specific mutations might be an option.

  19. Oct. 07, 2025

    TERT expression may better predict meningioma behavior

    Research led by a Mayo Clinic Neurosurgery chair shows that TERT expression, independent of other markers, predicts disease progression. TERT expression may warrant higher WHO grade.

  20. Oct. 07, 2025

    Bringing Mayo Clinic brain tumor care closer to home

    Remote assessments can potentially reduce travel burdens for patients having treatment for brain tumors. Physician-scientists are studying the feasibility of home-based management for certain aspects of care.

  21. Sept. 26, 2025

    Optimizing the outcome of prenatal myelomeningocele repair

    Mayo Clinic specialists in Pediatric Neurosurgery and Maternal and Fetal Medicine perform this challenging procedure. The neurological effects are usually reversed, and the average gestational age at birth is 34.2 weeks[...]

  22. Sept. 03, 2025

    Major advance in use of CAR-T cell therapy to treat solid tumors

    A cross-disciplinary effort at Mayo Clinic has led to a breakthrough development in the use of CAR-T cell therapy to treat solid tumors.

  23. Aug. 29, 2025

    Progressive MS: Innovative tools for diagnosis and care

    Mayo Clinic has expertise and technology to help accurately diagnose people with progressive multiple sclerosis (MS). Timely diagnosis promotes optimal management of disease progression.

  24. Aug. 29, 2025

    'Digital twins': 3D models enhance neurosurgical care

    Mayo Clinic creates personalized models of patient anatomy and pathology to guide complex neurosurgeries. The life-size, 3D printed models offer hepatic perception to optimize outcomes.

  25. Aug. 29, 2025

    Novel directions for advancing glioblastoma care

    Mayo Clinic researchers are exploring new therapies, drug delivery methods and surgical innovations to improve survival outcomes. Translating findings into scalable solutions is a top priority.

  26. Aug. 29, 2025

    Research finds AI model can predict ALS

    Mayo Clinic scientists used data-driven features extracted from nerve conduction studies to train an AI model. The work could ultimately help improve diagnosis of ALS and assess prognosis.

  27. July 25, 2025

    Meningiomas: Multidisciplinary approach for optimal care

    Mayo Clinic's expert team can provide personalized treatment. Cutting-edge research by physician-scientists offers new hope for patients with these challenging tumors.

  28. July 25, 2025

    Study outlines possible tool for DLB diagnosis

    Mayo Clinic researchers showed that diffusion-weighted MRI with free-water mapping provides a biomarker for dementia with Lewy bodies (DLB). The finding could foster earlier accurate diagnosis.

  29. July 25, 2025

    Mayo Clinic offers unique and challenging surgery to treat pediatric and adolescent cervical spine conditions

    Despite cervical spine treatment's difficulty and high-risk nature, Mayo Clinic is one of the few medical centers to take on the challenge of treating these conditions.

  30. June 20, 2025

    Proton SRS: A 'revolutionary' treatment for AVMs

    Mayo Clinic uses proton stereotactic radiosurgery to manage arteriovenous malformations (AVMs). The technology precisely targets AVMs while sparing healthy tissue.

  31. June 20, 2025

    Expert, timely care for functioning pituitary adenomas

    Mayo Clinic is one of the largest pituitary centers in the United States. A multidisciplinary team recommends personalized options for tumor resection and hormone regulation.

  32. June 20, 2025

    'Ironclad' processes to avoid wrong-site spinal surgery

    Mayo Clinic's standardized labeling of transitional spinal anatomy enhances the safety of spinal surgery. An intraoperative pause while surgeons check the level adds greater safety.

  33. June 05, 2025

    Examining implementation research related to traumatic brain injury

    In a scoping review, the researchers demonstrate the need for research to accelerate adoption of evidence-based innovation into traumatic brain injury care.

  34. June 05, 2025

    Understanding Parsonage-Turner syndrome and hereditary brachial plexus neuropathy

    While the cause or trigger for these painful attacks is still unclear, the review article highlights updates to diagnostic and management strategies.

  35. June 05, 2025

    The evolving role of neuroprostheses in treating individuals with spinal cord injuries

    Mayo Clinic physiatrist Ryan J. Solinsky, M.D., discusses the role of neuroprostheses in neurorehabilitation, current research findings and where this field is headed.

  36. June 05, 2025

    Using a head CT deep learning model to predict patient outcomes after moderate to severe traumatic brain injury

    Researchers are examining whether deep learning analysis of computerized tomography (CT) results might yield information predicting long-term prognosis.

  37. May 30, 2025

    Exploring the role of critical spinal cord lesions in progressive MS

    Mayo Clinic researchers have found a strong association between these lesions and disease progression. The work's ultimate goal is to prevent multiple sclerosis (MS) progression.

  38. May 30, 2025

    Using molecular information to guide brain tumor treatment

    Multiplatform data helps Mayo Clinic specialists predict tumor behavior, including the risk of recurrence and likely response to treatment. Meningiomas are a particular focus.

  39. May 30, 2025

    Familial brain aneurysms: Managing the risks of rupture

    Mayo Clinic's forward-thinking approach to screening is aimed at preventing a life-threatening brain hemorrhage.

  40. May 13, 2025

    Multidisciplinary approach to treating complex acoustic neuromas

    Tumors such as acoustic neuromas require a complex approach to care. Specialists at Mayo Clinic in Florida work together to tackle these complicated diagnoses and find the best possible treatment.

  41. May 13, 2025

    Skull base CSF leaks: Comprehensive approach and low recurrence rate

    Mayo Clinic in Florida takes a holistic approach to repairing a skull base CSF leak to avoid recurrences and manage the potential underlying causes.

  42. May 03, 2025

    Machine learning predicts treatment options for pituitary tumors

    Mayo Clinic uses AI technology to take a comprehensive approach to personalized care for pituitary tumors.

  43. April 02, 2025

    Leading the way for improved stroke care

    Mayo Clinic in Jacksonville, Florida, participates in multiple large clinical studies on stroke — epitomizing the center's position as a thought leader in neurovascular care.

  44. March 28, 2025

    'Revolution' in CT enhances neurological care

    Mayo Clinic neuroradiologists use photon-counting-detector CT to manage a growing list of conditions. The technology greatly enhances imaging for optimal patient care.

  45. March 28, 2025

    Upgraded scanner unleashes 7T MRI's potential

    The new system addresses certain technical challenges of clinical 7T imaging. Enhanced signal homogeneity and patient-specific transmission greatly improve image quality.

  46. Feb. 26, 2025

    Overcoming the challenges of managing chordoma

    Mayo Clinic neurosurgeons have experience with chordoma tumors, which are difficult to resect. Research focuses on making chordoma less resistant to radiation therapy.

  47. Jan. 28, 2025

    Unique imaging protocol facilitates moyamoya disease management

    Mayo Clinic's protocol can provide a comprehensive evaluation of the underlying severity of hemodynamic effects in individuals with this challenging condition.

  48. Jan. 28, 2025

    Clinical study explores regenerative therapy for epilepsy

    The effort tests the safety of implanting interneurons into the brains of individuals with drug-resistant disease. The goal is to restore normal excitatory-inhibitory balance.

  49. Dec. 20, 2024

    Translating molecular analysis of brain tumors into patient treatment

    Mayo Clinic is boosting efforts to build predictive modeling of tumor behavior. The goal is to guide decision-making for individual patients' care.

  50. Dec. 20, 2024

    Respecting patients' choices for tremor surgery

    Mayo Clinic specialists have experience with focused ultrasound and deep brain stimulation. Patients' treatment preferences are accommodated whenever feasible.

  51. Dec. 18, 2024

    Enhancing precision for pediatric epilepsy localization

    Mayo Clinic Children's Center uses magnetoencephalography (MEG) to help identify seizure-origin locations and inform treatment plans for children with focal epilepsy.

  52. Nov. 26, 2024

    AI models help predict response to migraine medications

    Mayo Clinic researchers have developed tools that can potentially help ease the trial-and-error process of treating a headache.

  53. Nov. 26, 2024

    Probing the molecular drivers of meningioma

    Mayo Clinic research aims to translate genetic discoveries into new therapies for this common brain tumor.

  54. Oct. 26, 2024

    Large practice fuels expert management of benign brain tumors

    Mayo Clinic specialists use the latest technology to treat the full range of benign neoplasms, including complex tumors. A multidisciplinary team helps optimize outcomes.

  55. Sept. 26, 2024

    Intracranial hypertension after CSF leak might signal an underlying condition

    Multidisciplinary experts in the CSF dynamics clinic are learning more about managing the complexities of conditions involving abnormal intracranial pressure.

  56. Sept. 26, 2024

    AI facilitates EEG approach for diagnosing neurodegenerative disease

    Mayo Clinic researchers have developed a means of analyzing EEG recordings to help with early disease identification. The approach can be a cost-effective, robust clinical tool.

  57. Aug. 30, 2024

    Mayo Clinic study defines new neurodegenerative syndrome

    Researchers have outlined clinical criteria for a neurodegenerative syndrome that predominantly affects the limbic system. The criteria disambiguate LANS from other neurodegenerative conditions.

  58. Aug. 30, 2024

    Innovative strategies for pediatric epilepsy

    Mayo Clinic's recognized expertise facilitates minimally invasive treatment. The multispecialty team has experience with rare seizure disorders.

  59. Aug. 30, 2024

    Exploiting windows of opportunity in glioma treatment

    Mayo Clinic researchers are using new approaches to therapeutic studies. The goal is to speed the development of treatments that can prevent disease recurrence.

  60. July 25, 2024

    LLMs: The implications for neurological care

    Mayo Clinic researchers and their colleagues have outlined the challenges and benefits of applying these artificial intelligence models to clinical care.

  61. July 25, 2024

    Innovation drives brain tumor treatment

    Mayo Clinic applies the latest technology to all aspects of neuro-oncological care. The goal is to optimize outcomes and improve quality of life for all patients.

  62. July 25, 2024

    Choosing the optimal approach for giant pituitary adenomas

    The options for treating these challenging tumors have expanded. Mayo Clinic specialists have the experience required to offer a personalized treatment plan for each patient.

  63. June 20, 2024

    MEG enhances precision of focal epilepsy localization

    The noninvasive test helps target locations for sEEG electrode placement. The highly detailed test results guide treatment options.

  64. June 20, 2024

    Multidisciplinary approach guides trigeminal neuralgia care

    Mayo Clinic specialists' expertise facilitates personalized treatment for this challenging condition. The process starts with thorough patient evaluations to understand each patient's pain.

  65. June 20, 2024

    Craniofacial surgery enhances brain tumor care

    Mayo Clinic's craniofacial specialists routinely collaborate with neurosurgeons for the resection of brain tumors. The goal is to avoid disfigurement, for enhanced quality of life.

  66. June 20, 2024

    MOGAD Clinic: World-class expertise for a disabling autoimmune disease

    A multidisciplinary team manages care for people with this rare demyelinating condition. Often misdiagnosed, MOGAD requires timely treatment to avoid disability.

  67. May 30, 2024

    Evaluating the efficacy of physical therapy to treat symptomatic thoracic radiculopathy

    While a systematic review suggests that PT can alleviate symptoms, limited evidence, bias risk and low evidence certainty make these initial data too weak to support a definite conclusion.

  68. May 23, 2024

    Research sheds light on genetics of FTLD-TDP risk and progression

    Mayo Clinic researchers found associations between certain TMEM106B genetic variations and filament derived from that gene.

  69. May 23, 2024

    Artificial intelligence: Enhanced expertise drives innovation

    Mayo Clinic is augmenting its neurosurgical expertise, with a focus on artificial intelligence. The move exemplifies Mayo Clinic's commitment to cutting-edge research and patient care.

  70. May 23, 2024

    Study finds stem cell therapy is safe and may benefit people with spinal cord injuries

    Seven of 10 participants in the preliminary trial showed improvement after regenerative medicine therapy.

  71. April 26, 2024

    AI helps map glioma heterogeneity

    Mayo Clinic researchers are using AI to create a system that predicts glioma biology based solely on imaging. The goal is to better personalize cancer treatment.

  72. April 26, 2024

    Elucidating the role of microglia in emergence from anesthesia

    Mayo Clinic researchers have shown that microglia boost neuronal activity after anesthesia. The discovery may lead to new ways to manage post-anesthesia complications.

  73. April 09, 2024

    Predicting biochemical remission after surgical management of GH-secreting adenomas

    Results from a retrospective analysis helped clinicians design a scoring system to predict biochemical remission after surgical management of GH-secreting adenomas.

  74. March 26, 2024

    'Seeing through the walls': Augmented reality facilitates tumor surgery

    Patient-specific simulations guide presurgical planning. The images are then superimposed on the surgical field, to optimize intraoperative navigation.

  75. March 26, 2024

    New options for imaging MRI-resistant Cushing tumors

    Mayo Clinic has cutting-edge imaging that can identify MRI-resistant corticotroph adenomas. Pinpointing these tumors enhances treatment for Cushing disease.

  76. Feb. 24, 2024

    Plasma biomarkers of Alzheimer's disease in the continuum of DLB

    A Mayo Clinic study found that blood tests can detect Alzheimer's pathology in patients with DLB. The results can facilitate future clinical trials of potential DLB therapies.

  77. Feb. 24, 2024

    Awake craniotomy can cut costs without compromising patient care

    Standardizing protocols for the surgery to treat complex brain tumors can lower costs — with no adverse effect on patient outcomes, according to Mayo Clinic research.

  78. Jan. 26, 2024

    Promising developments in the search for glioblastoma therapies

    Mayo Clinic is advancing the search for new glioblastoma treatments. Laboratory studies combining small molecule inhibitors with approved drugs have yielded positive results.

  79. Jan. 26, 2024

    Cavernous malformations: 7T MRI enhances expertise

    Mayo Clinic uses advanced imaging to aid diagnosis and decisions about whether cavernous malformations should be surgically removed to prevent bleeding.

  80. Jan. 16, 2024

    Collaborative surgical innovation can reduce complications and hospital stay

    Meningiomas account for 15% to 20% of primary brain tumors. Mayo Clinic ophthalmologists collaborating across the clinical practice has allowed a new treatment option to emerge for anterior skull base meningioma resecti[...]

  81. Dec. 22, 2023

    Technical advances in epilepsy care

    Mayo Clinic uses a range of innovative techniques for the diagnosis and treatment of medication-refractory seizures. Subspecialized expertise can provide options for patients who aren't surgical candidates.

  82. Dec. 22, 2023

    New aneurysm devices expand treatment options

    Mayo Clinic uses the latest aneurysm treatment devices, which can enhance the safety of aneurysm repair. Embracing innovation allows neurosurgeons to offer patients more treatment options.

  83. Nov. 23, 2023

    Autoimmune neurology: Enhanced expertise for treatable conditions

    Mayo Clinic is augmenting its team of autoimmune neurology clinician-researchers. The move epitomizes Mayo Clinic's commitment to excellence in the field.

  84. Nov. 23, 2023

    AVMs: Multimodal approach for individualized treatment

    Mayo Clinic neurosurgeons have experience with the range of treatment options for arteriovenous malformations. That expertise facilitates a patient-specific approach.

  85. Oct. 27, 2023

    Specialized expertise for spinal deformity surgery

    The wide range of spinal deformity treated at Mayo Clinic encompasses scoliosis and kyphosis, high-grade spondylolisthesis, and cervical spine and post-laminectomy deformity, as well as revision surgeries.

  86. Oct. 27, 2023

    Electrical impedance rhythms in the human limbic system

    The results of a Mayo Clinic study can potentially impact the forecasting of epileptic seizures. The study found that human brain impedance exhibits multiscale oscillations.

  87. Oct. 27, 2023

    Pituitary tumors: Team approach facilitates strong outcomes

    Mayo Clinic has a high-volume practice in pituitary tumors. Subspecialists work together to maximize resection and avoid morbidity.

  88. Oct. 27, 2023

    Beyond the status quo: Technical advances in managing brain tumors

    Mayo Clinic applies the latest technology to all aspects of neuro-oncological care. The goal is to optimize outcomes and improve quality of life for all patients.

  89. Oct. 27, 2023

    Laboratory study sheds light on pathogenesis of MS progression

    Mayo Clinic research describes the role of neuroantigen-specific T cells in promoting neuron loss in mouse models of multiple sclerosis.

  90. Sept. 22, 2023

    Choosing optimal treatments for cerebrovascular pathologies

    Mayo Clinic's experience with multiple treatment modalities means that patients with cerebrovascular pathologies can be offered the approach that best meets their needs.

  91. Aug. 26, 2023

    Melding technology and expertise for optimal spinal surgery

    Spinal surgery at Mayo Clinic combines advanced technology with the personalized expertise of a multidisciplinary team to deliver optimal outcomes for patients with a range of conditions.

  92. Aug. 26, 2023

    Groundbreaking studies of regenerative medicine treatment for intracerebral hemorrhage

    Mayo Clinic researchers are studying how mesenchymal stem cells might treat the effects of intracerebral hemorrhage. Preclinical work demonstrated the cells' capacity to rescue injured neurons.

  93. Aug. 26, 2023

    Defining markers for future CASH clinical trials

    Mayo Clinic is part of a national effort to find endpoints for clinical trials of therapies for cavernous angioma with symptomatic hemorrhage (CASH) — a rare cerebrovascular malformation.

  94. Aug. 26, 2023

    Robotic system facilitates complex stereotactic surgeries

    The new system can increase the accuracy of complex neurosurgeries and shorten operating times. It is available at all three main Mayo Clinic campuses.

  95. July 21, 2023

    Chronic neurological pain: Managing an undertreated condition

    Mayo Clinic neurosurgeons use a variety of neurostimulation techniques to treat severe neuropathic pain syndromes. Lesioning procedures are an additional option for patients with cancer-related pain.

  96. July 21, 2023

    7-T MRI: Providing hope by seeing the previously unseen

    Mayo Clinic neuroradiologists are using clinical 7-T MRI to manage a growing list of neurological conditions. Imaging sequences developed by Mayo Clinic are directly impacting patients' lives.

  97. July 21, 2023

    Study links hyperinflammatory monocytes to FIRES

    Mayo Clinic researchers describe their successful treatment of a child with febrile infection-related epilepsy syndrome (FIRES). The case report offers guidance for clinicians seeking to manage this challenging syndrome[...]

  98. June 16, 2023

    Personalized treatment for movement disorders

    Mayo Clinic neurologists have extensive experience with the treatment of complex movement disorders. Innovations in diagnosis and deep brain stimulation (DBS) can potentially improve outcomes.

  99. June 16, 2023

    Innovations spur post-stroke recovery

    Mayo Clinic uses vagus nerve stimulation paired with rehabilitation exercises to treat upper extremity deficits after ischemic stroke. Neurostimulation increases neuroplasticity to augment the effects of physical and oc[...]

  100. June 03, 2023

    Mayo Clinic neuroscientists discover a new brain area

    Somatotopy of cells in the precentral gyrus extends throughout the volume of the pericentral brain. But somatotopy is interrupted by an area in the central sulcus.

  101. May 26, 2023

    Brachial plexus injuries: Seamless pediatric and adult care

    Mayo Clinic's integrated approach facilitates rapid evaluation by multiple subspecialized surgeons. A "one-stop shop" provides individualized treatment for all ages.

  102. May 26, 2023

    Applying technology to improve hydrocephalus care

    Sophisticated gait assessments and artificial intelligence are spurring Mayo Clinic's innovations in the diagnosis and treatment of idiopathic normal-pressure hydrocephalus.

  103. April 22, 2023

    Endoscopic spinal surgery: The next level of minimally invasive care

    Mayo Clinic neurosurgeons have experience with this ultra-minimally invasive technique. The advantages include fewer permanent biomechanical changes after elective spinal surgery.

  104. April 22, 2023

    Photon-counting CT: Next-generation technology for CSF-venous fistulas

    Mayo Clinic is one of the first centers in the United States to use photon-counting detector CT myelography to localize CSF-venous fistulas. The technology improves upon digital subtraction myelography.

  105. April 22, 2023

    Seeking biomarkers for Alzheimer's disease in multiethnic populations

    Mayo Clinic is leading a multicenter program that aims to identify biomarkers and potential therapeutic targets for Alzheimer's disease. The federally funded effort involves multiethnic cohorts.

  106. April 22, 2023

    Spinal oncology surgery focuses on preserving quality of life

    Mayo Clinic increasingly uses a minimally invasive or a "mini open" approach for resecting spinal tumors. The procedure requires a multidisciplinary team and the latest technology.

  107. March 24, 2023

    State-of-the-art molecular diagnostics for brain tumor care

    Mayo Clinic uses comprehensive molecular and genetic testing to refine brain tumor diagnoses. A multidisciplinary team helps ensure individualized tumor treatment.

  108. March 24, 2023

    Pediatric brain tumor research: Enhancing treatment and quality of life

    Multidisciplinary teams are overcoming challenges and making discoveries in the laboratory and clinic. The efforts include finding new drugs and delivery methods and enhanced radiation protocols.

  109. March 24, 2023

    Deep learning fuels neurodegenerative disease research

    Mayo Clinic researchers developed a deep learning model that produces a biomarker of neurodegenerative disease states. The model helps assess differences between chronological age and "brain age."

  110. March 24, 2023

    Intracranial artery dissection: Managing a life-threatening condition

    Mayo Clinic specialists have experience with the diagnosis and treatment of this rare condition. State-of-the-art imaging of complex vascular pathology facilitates optimal outcomes.

  111. Feb. 24, 2023

    Overcoming the challenges of leptomeningeal inflammation diagnosis

    Mayo Clinic has a multispecialty group focused on managing leptomeningeal diseases. The goal is to improve diagnosis so that individuals receive appropriate and timely treatment.

  112. Feb. 24, 2023

    Carotid plaque imaging spurs innovative care

    Advanced technology allows Mayo Clinic neuroradiologists to assess specific plaque features as well as the degree of luminal stenosis, for improved management of carotid artery disease.

  113. Feb. 24, 2023

    Reassessing 'clinically meaningful' in Alzheimer's disease therapies

    Slowing the progression of Alzheimer's disease has meaningful benefits for patients and their families. Expectations of outcomes from therapeutic interventions might need to be modified.

  114. Jan. 28, 2023

    Optimizing bone health before complex spinal surgery

    Strengthening bone before surgery can improve the outcomes of complex spinal surgeries. Mayo Clinic neurosurgeons and endocrinologists routinely collaborate to help patients avoid proximal junctional kyphosis and failur[...]

  115. Dec. 30, 2022

    Avoiding misdiagnosis of autoimmune encephalitis

    Mistaken diagnosis of autoimmune encephalitis occurs frequently and can lead to inappropriate treatment. A study led by Mayo Clinic offers guidance for correct diagnosis.

  116. Nov. 04, 2022

    Improving detection of respiratory insufficiency for patients with ALS

    Mayo Clinic researchers found that overnight pulse oximetry and maximum inspiratory pressure yield the earliest identification of individuals who would benefit from noninvasive ventilation.

  117. Oct. 29, 2022

    Role for stereotactic radiosurgery in pituitary-dependent Cushing syndrome

    A retrospective study shows that stereotactic radiosurgery increases biochemical remission and controls tumor growth in patients with persistent or recurrent Cushing disease.

  118. Oct. 01, 2022

    Fertility preservation for children with brain tumors

    Mayo Clinic's Pediatric Fertility Preservation Program provides unique services to children with brain tumors. Neuro-oncologists determine when this option is appropriate to offer.

  119. Oct. 01, 2022

    Multispecialty team provides rapid, individualized care for pediatric brain tumors

    The Pediatric Brain Tumor Clinic focuses on children's needs while offering Mayo Clinic's deep expertise. Patients have access to the latest treatments and technology.

  120. Oct. 01, 2022

    Sophisticated imaging and models guide pediatric brain tumor care

    Multidisciplinary teams are overcoming challenges and making discoveries in the laboratory and clinic. The efforts include finding new drugs and delivery methods, and enhanced radiation protocols.

  121. Oct. 01, 2022

    New study assesses the risk of stroke before and after central retinal artery occlusion

    Mayo Clinic researchers analyzed population-based data to study the correlation between central retinal artery occlusion and incidence of ischemic stroke to evaluate the associated risk.

  122. Sept. 21, 2022

    Preventing recurrent ischemic stroke

    The Heart Brain Clinic brings together neurologists and cardiologists to determine stroke etiology. Patients see both types of specialists during the same half-day visit.

  123. Sept. 21, 2022

    Expertise in defining and treating neuromyelitis optica spectrum disease

    Mayo Clinic neurologists have published a review of neuromyelitis optica spectrum disorder in The New England Journal of Medicine. Treatment seeks to preserve neurological function.

  124. Sept. 21, 2022

    7-T MRI: Identifying lesions for optimal epilepsy care

    State-of-the-art MRI enhances Mayo Clinic's ability to localize seizure-origin sites. Pinpointing these sites is key to optimizing treatment for medication-refractory epilepsy.

  125. Aug. 25, 2022

    Study identifies causes of neurodevelopmental syndrome

    Mayo Clinic led an international team that found 15 additional genetic alterations associated with KCNK9 imprinting syndrome. Identifying the syndrome's root cause is key to finding a cure.

  126. Aug. 25, 2022

    DISCOVERY: Unraveling post-stroke cognitive impairment

    Mayo Clinic is a lead partner in a major study of post-stroke cognition in diverse populations. DISCOVERY draws on Mayo Clinic's expertise in multiple domains of neurology and imaging.

  127. Aug. 25, 2022

    Single position spinal surgery: How patients benefit

    Mayo Clinic has experience and expertise with this advanced approach. Single position spinal reconstruction shortens operating times while generally providing equivalent outcomes compared with typical spinal surgeries.

  128. July 23, 2022

    Expert guidance for vestibular schwannomas' complex treatment decisions

    The treatment options for vestibular schwannomas are evolving. Mayo Clinic has deep experience and expertise with managing care for individuals with these benign tumors.

  129. July 23, 2022

    Expanding insights into autoimmune GI dysmotility

    Mayo Clinic has expertise and experience with this debilitating dysautonomia. Autoimmune neurologists work closely with GI specialists to provide care.

  130. July 23, 2022

    Summer program trains high school researchers, fuels real advances

    Mayo Clinic scientists mentor talented students in world-class laboratories. One student's award-winning Alzheimer's disease work will help guide future research efforts.

  131. June 24, 2022

    Innovation can avoid complications of microvascular decompression

    Mayo Clinic has a novel approach for the surgical treatment of trigeminal neuralgia. The technique uses fibrin instead of Teflon, to minimize the risk of recurrent pain.

  132. June 24, 2022

    Leadership role in NCI effort to advance glioblastoma treatments

    Mayo Clinic is a key participant in a nationwide program that aims to bring new glioblastoma therapeutics into clinical trials. The effort represents a new approach to experimental therapies.

  133. June 24, 2022

    Expert management of autoimmune dementia

    Mayo Clinic autoimmune neurologists have experience differentiating between dementias with autoimmune and neurodegenerative etiologies. Autoimmune dementia is potentially reversible with timely diagnosis and treatment.

  134. May 25, 2022

    Preclinical study suggests strategy for re-myelination

    Altered NAD+ metabolism is linked to high-fat diets and multiple sclerosis. Mayo Clinic found that normalizing levels of that enzyme promotes re-myelination in laboratory models.

  135. May 25, 2022

    Laser ablation: Expert minimally invasive treatment for epilepsy and brain tumors

    Mayo Clinic routinely performs laser interstitial thermal therapy (LITT) to treat epilepsy and brain tumors. LITT can be an option for individuals who wish to avoi[...]

  136. April 23, 2022

    Awake spinal surgery: A paradigm shift in neurosurgery

    Mayo Clinic can perform lumbar fusion, as well as laminectomy and diskectomy, with spinal anesthesia. The awake procedures can lessen operating room time and postoperative pain.

  137. April 23, 2022

    New antibody test for MS diagnosis

    Mayo Clinic has identified an immunoglobulin kappa value comparable to the detection of oligoclonal bands for the diagnosis of MS. The antibody test is more automated and provides faster results.

  138. April 23, 2022

    Novel global information processing model of neurodegenerative disease

    Mayo Clinic's model localizes mental functions relevant for Alzheimer's disease and related disorders. The model can potentially impact the diagnosis, treatment and understanding of neurodegenerative disease.

  139. April 23, 2022

    Routine screening for individuals with a family history of aneurysm

    Regular assessments of individuals with a family history of aneurysm can help prevent hemorrhagic stroke. A family history of aneurysm greatly increases an individual's risk of aneurysm.

  140. April 23, 2022

    Improving health equity in Alzheimer's disease diagnosis

    Mayo Clinic has created a predictive model for the diagnosis of Alzheimer's disease in African Americans. The model incorporates plasma mRNA measures.

  141. March 29, 2022

    Emerging therapies for pediatric lysosomal disorders

    Mayo Clinic offers the latest treatments for children with lysosomal diseases. Early diagnosis and treatment are key to minimizing the effects of these rare inherited metabolic disorders.

  142. March 26, 2022

    Diffuse midline glioma: Investigating new approaches

    Mayo Clinic is studying two techniques to improve the treatment of this pediatric brain tumor: fractionated radiation therapy and convection-enhanced delivery of medication.

  143. March 26, 2022

    Pediatric epilepsy: Defining syndromes and applying innovative therapies

    Mayo Clinic uses the latest technology to learn the cause of childhood seizures and to provide treatment as soon as possible. A multidisciplinary team addresses quality-of-life issues.

  144. March 26, 2022

    Radiogenomics: Exploring MRI's potential for predicting heterogeneous tumor biology

    Mayo Clinic applies machine learning to research aimed at connecting brain tumors' morphological and physiological appearance with the tumors' underlying genomic features.

  145. March 26, 2022

    Proposed pathogenesis for stroke in patients with COVID-19

    An interaction of vascular risk factors and immune responses to the SARS-CoV-2 virus may explain the increased risk of stroke for people with COVID-19.

  146. Feb. 25, 2022

    Combined neurosurgical and orthopedic training facilitates complex spinal surgery

    Mayo Clinic neurosurgeons apply skills acquired through combined neurosurgical and orthopedic fellowship training in spinal procedures. The complementary skill sets optimize patient care.

  147. Feb. 25, 2022

    Using AI to improve brain stimulation devices

    Mayo Clinic researchers have developed an algorithm that reveals the complex results of stimulating brain networks. The goal is to develop more-sophisticated stimulation devices for treating brain disorders.

  148. Feb. 25, 2022

    Virtual reality for enhanced neurological exams

    Mayo Clinic plans to test novel software aimed at enhancing remote neurological evaluations. The pilot project highlights the potential of virtual reality to provide objective data that guide treatment decisions.

  149. Feb. 25, 2022

    New effort manages stroke care for younger adults

    Mayo Clinic's neurovascular care process addresses the needs of people age 55 and under who have strokes. A multidisciplinary team helps patients regain function and avoid future strokes.

  150. Dec. 28, 2021

    Study shows potential of wrist-worn devices to predict seizures

    Mayo Clinic researchers have documented the feasibility of forecasting seizures without directly measuring brain activity. The preliminary study indicates a possible future option for people with refractory epilepsy.

  151. Dec. 28, 2021

    'Intelligently aggressive' approach to MRI for people with implanted devices

    Radiologists, MRI safety officers and physicists collaborate to provide vital imaging while ensuring patient safety. Altering MRI parameters can ensure safety with devices technically considered MRI nonconditional.

  152. Dec. 21, 2021

    Research aims to develop an adjunct therapy for cervical spondylotic myelopathy

    Mayo Clinic researchers are testing a protein-based therapy in laboratory models. The goal is to help the spinal cord recover from injuries due to chronic compression.

  153. Nov. 25, 2021

    Autoimmune encephalitis: Paving the way to better outcomes

    Mayo Clinic is exploring a new therapy for this disease, which can cause lingering complications. Mayo's specialists have extensive experience with the diagnosis and treatment of this rare disease.

  154. Nov. 25, 2021

    New strategy controls pain after Chiari malformation surgery

    An intraoperative injection of liposomal bupivacaine can reduce opioid use in the first 24 hours after surgery. Following that period, Mayo Clinic uses nonopioid medications to aggressively treat pain.

  155. Nov. 25, 2021

    Comprehensive data registry helps transform neurosurgical practice

    Mayo Clinic's registry provides hard data on quality, costs, volumes and outcomes. The registry helps to standardize neurosurgical outcomes across the enterprise while also tracking value.

  156. Nov. 25, 2021

    COVID-19 upends neuro-oncology worldwide

    The first global study of how the pandemic affected neuro-oncology found both negative and positive aspects. Basic and clinical research declined, but telemedicine was popular among practitioners and patients.

  157. Oct. 26, 2021

    Adolescent scoliosis surgery: A nuanced approach nationwide

    Mayo Clinic's neurosurgeons have strong expertise in spinal mechanics, which they apply to scoliosis surgery for individuals regardless of age. State-of-the-art imaging modalities help prevent surgical complications for[...]

  158. Oct. 26, 2021

    Predicting the progression from sleep disorder to neurodegenerative disease

    Mayo Clinic is co-leading research to identify biomarkers for neurodegenerative diseases in people with rapid eye movement sleep behavior disorder. The ultimate goal is clinical trials of therapies to delay or prevent s[...]

  159. Oct. 26, 2021

    Gamma Knife milestone highlights expertise and outcomes

    Mayo Clinic uses Gamma Knife radiosurgery to treat challenging tumors, cerebrovascular conditions and functional disorders. More than 10,000 patients have had the procedure at Mayo Clinic.

  160. Oct. 26, 2021

    Guiding young people toward managing their epilepsy care

    A Mayo Clinic program helps teenagers and young adults transition to adult care for their chronic illness. The program addresses the medical, emotional and psychosocial needs of young people and their families.

  161. Sept. 21, 2021

    3D-printed models enhance pediatric cerebrovascular education and care

    Mayo Clinic's patient-specific, life-sized models help neurosurgeons to visualize the anatomy of rare pediatric cerebrovascular lesions. The goal is to better prepare surgeons to treat young patients with challenging co[...]

  162. Sept. 21, 2021

    Clues for defining the diagnosis and course of demyelinating diseases

    A Mayo Clinic study identified clear differences in the resolution of lesions in three demyelinating diseases. The findings shed light on the development of long-term disability in MS.

  163. Aug. 20, 2021

    Genetic tumor testing for more-precise treatment of glioma

    Mayo Clinic's cerebral spinal fluid biomarker tests use next-generation sequencing to evaluate mutations and rearrangements in 187 genes, for optimal tumor management.

  164. Aug. 20, 2021

    Pituitary tumors: Patient-centered care facilitates strong outcomes

    A Mayo Clinic study documented fewer surgical complications and shorter hospital stays for individuals having pituitary tumor surgery at Mayo compared with results from a multicenter study.

  165. Aug. 20, 2021

    Alzheimer's biomarker testing: Boosting diagnostic accuracy so that patients can plan for the future

    Cerebral spinal fluid (CSF) biomarkers can predict the results of PET scan findings in people with mild cognitive impairment or dementia. Test results are available quickly.

  166. Aug. 20, 2021

    Combining PET scans and 7-tesla MRI to pinpoint subtle epileptogenic lesions

    Overlays of PET images and 7-tesla MRI can help identify candidates for surgery among the one-third of individuals with epilepsy who have medically refractory seizures.

  167. July 21, 2021

    Vestibular schwannoma: Meeting each patient's needs through shared decision-making

    Mayo Clinic diagnoses and treats nearly 800 people a year with vestibular schwannomas. The treatment team has extensive experience in microsurgery, radiosurgery and observation of these intracranial tumors.

  168. July 21, 2021

    Chemotherapy-induced cognitive impairment: A potential preventive strategy

    Mice pre-treated with nicotinamide mononucleotide before cisplatin therapy performed better on subsequent learning and memory tests than did mice that weren't pre-treated.

  169. July 21, 2021

    Telestroke: World-class expertise 24/7 for patients in remote areas

    Mayo Clinic's expanding telestroke network has morbidity and mortality outcomes that don't differ statistically from outcomes for patients treated at a Mayo stroke center.

  170. July 21, 2021

    Carotid plaque imaging: Updating the management of atherosclerotic disease

    Mayo Clinic's robust imaging protocol can detect intraplaque hemorrhage and other signs of instability — information key to guiding the diagnosis and prevention of strokes.

  171. June 19, 2021

    New myelography protocol helps localize cerebrospinal fluid leaks

    Mayo Clinic's use of state-of-the-art digital subtraction myelography paves the way for definitive treatment of debilitating cerebrospinal fluid leaks.

  172. June 19, 2021

    Neuromyelitis optica: New therapies offer hope

    Mayo Clinic's experience and expertise with neuromyelitis optica spectrum disorder (NMOSD), a rare inflammatory disorder, facilitate decisions about optimal treatment choices for individual patients.

  173. June 19, 2021

    Prenatal repair can improve hindbrain herniation

    About 90% of prenatal myelomeningocele repairs performed at Mayo Clinic reverse brain malformations before birth. The procedure requires multidisciplinary neurological, pediatric and radiologic expertise.

  174. May 21, 2021

    Precise and personalized guidance for epilepsy's complex decisions

    Mayo Clinic specialists are committed to educating individuals about their many nonmedical treatment options.

  175. May 21, 2021

    Building the knowledge for skull base surgery

    Mayo Clinic clinician-researchers are learning more about cranial anatomy. Their work paves the way for the development of new surgical techniques for skull base disease.

  176. May 21, 2021

    Moyamoya: New protocol for managing a complex disease

    Critical imaging tests can be performed in a single session and without ionizing radiation. Timely diagnosis facilitates optimal treatment.

  177. May 21, 2021

    Comprehensive mapping of cognitive functions during awake surgery

    The innovative technology provides detailed and efficient information in real time to avoid damage to eloquent tissue in epilepsy and tumor surgeries.

  178. April 15, 2021

    Elucidating a rare pituitary cancer

    A Mayo Clinic study describes the challenges of diagnosing individuals with this cancer and outlines treatment options.

  179. April 15, 2021

    Novel endovascular therapy for CSF-venous fistulas

    Mayo Clinic's new approach provides an alternative to invasive spinal surgery.

  180. April 15, 2021

    Innovative treatment eases hundreds of daily seizures

    The patient was the first at Mayo Clinic to have the noninvasive therapy as a treatment for seizures.

  181. March 27, 2021

    Spondylolisthesis: Individualized approach for optimal outcomes

    Mayo Clinic spinal surgeons use a wide range of approaches to treat patients with congenital and degenerative spondylolisthesis.

  182. March 27, 2021

    Point-of-care additive manufacturing provides complex scoliosis models

    Mayo Clinic radiologists and neurosurgeons collaborate to rapidly create 3D-printed anatomic models.

  183. March 20, 2021

    Retinoblastoma: Specialized neuroradiology for optimal care

    Mayo Clinic's experienced specialists work to preserve the child's life, eye and sight.

  184. March 20, 2021

    New technology for the treatment of pediatric epilepsy

    Mayo Clinic Children's Center has a multispecialty team devoted to epilepsy care. New technology and clinical trials offer options even for rare syndromes.

  185. March 13, 2021

    Robotic systems can perform simple ICU care tasks

    Automation can reduce health risks for nurses and free them to focus on more-critical aspects of care.

  186. March 13, 2021

    NF2 Clinic: Proactive, coordinated multidisciplinary care

    Providers in 12 specialties collaborate to provide timely diagnosis and treatment for teenagers and adults with neurofibromatosis 2 (NF2).

  187. Jan. 23, 2021

    Robot-assisted spinal surgery shows promising initial results

    None of the 402 screws implanted in Mayo Clinic's study of robot-assisted spinal surgery required postoperative revision.

  188. Jan. 23, 2021

    Longitudinal study maps the transition to Alzheimer's disease

    A Mayo Clinic study underway since 1994 is providing key insights, including behavioral changes before symptoms start.

  189. Jan. 23, 2021

    Telemedicine offers benefits in the COVID-19 era and beyond

    Mayo Clinic's expanded use of telemedicine is likely to continue after the current pandemic eases.

  190. Jan. 23, 2021

    Burr hole approach offers minimally invasive option for resecting brain lesions

    Select brain lesions can be surgically removed through a 14-millimeter burr hole.

  191. Dec. 31, 2020

    Research highlights in Neurology and Neurosurgery — May 2020

    Mayo Clinic Neurology and Neurosurgery studies address the risk of carotid artery injury, clinical diagnosis of progressive supranuclear palsy and characterization of amphiphysin-IgG autoimmunity.

  192. Dec. 31, 2020

    Leading NIH's Lewy body dementia initiative

    A National Institutes of Health (NIH) initiative studies the proteins involved in Lewy body dementia to better characterize disease progression and identify potential therapeutic targets.

  193. Dec. 31, 2020

    McArdle sign can provide reliable clinical detection of MS

    McArdle sign — a clinical phenomenon in which neck flexion induces rapid, reversible weakness — is also moderately sensitive for a diagnosis of multiple sclerosis compared with other myelopathy conditions.

  194. Nov. 02, 2020

    3D Brain Model Advances Alzheimer's Research at Mayo Clinic

    The model system allows stem cells to grow in three dimensions, ensuring researchers can study amyloid-beta plaques and tau tangles associated with neurodegeneration together.

  195. Oct. 03, 2020

    Favorable long-term outcomes in pediatric AVM interventions

    Intervention is critical in maximizing the outcomes of pediatric arteriovenous malformations (AVMs). Mayo Clinic researchers have found that favorable functional outlooks for pediatric patients with AVMs can persist for[...]

  196. Oct. 02, 2020

    Elucidating the structural diversity of tauopathies

    Using a new method, Mayo Clinic researchers identify post-translational modifications as playing an important role in mediating the distinct structures of tau fibrils in corticobasal degeneration and Alzheimer's disease[...]

  197. Oct. 02, 2020

    Neurological simulations: The next generation

    Simulation of neurological disease is difficult. Mayo Clinic has advanced its simulation training capabilities and envisions a future where specific learning objectives are matched to simulation modality and are best ac[...]

  198. Oct. 02, 2020

    Spinal vascular malformations: Early interventions and importance of proper diagnosis

    Mayo Clinic's depth of expertise allows for detailed diagnosis of spinal vascular malformations and covers the complexity of these conditions, enabling timely, precise diagnosis that allows for optimal individualized tr[...]

  199. Oct. 02, 2020

    Epilepsy: The next generation of neurostimulation therapies

    Translating neurostimulation research and innovations into patient care is the overarching goal of Kai J. Miller, M.D., Ph.D., and Dora Hermes, Ph.D., both Mayo Clinic physicians and researchers.

  200. Oct. 02, 2020

    Post-traumatic headache: Clinical trial seeks predictors and therapies

    Nearly 40% of patients who develop acute post-traumatic headache experience persistent headaches. Researchers are conducting a major study to identify mechanisms and predictors of persistent post-traumatic headache caus[...]

  201. Oct. 02, 2020

    Looking at burnout and attrition in neurology: Expanding the gender gap?

    Studies suggest burnout may be 20% to 60% higher among women than men. In an article published in Neurology, Mayo Clinic physicians and researchers focused on burnout, attrition and the expanding gender gap.

  202. Oct. 02, 2020

    Ventricular volume: Clinical utility for assessing current and future cognition and gait

    Mayo Clinic researchers have found that ventricular volume measures are clinically more useful than the Evans index ratio in evaluating a patient's current and future cognition and gait.

  203. Aug. 14, 2020

    Glioblastoma: Seeking personalized care through radiomics

    Mayo Clinic is using radiomics to learn more about individuals' responses to glioblastoma treatment. Tumor volume can affect an individual's response to chemotherapy. Differences in the molecular mechanisms of tumors in[...]

  204. Aug. 04, 2020

    Cervical myelopathy: Discoveries paving the way to better care

    Cervical myelopathy symptoms often recur after surgery, due to suboptimal positioning of the spinal cord during the procedure. Mayo Clinic is learning more about the stress placed on the spinal cord, to determine the be[...]

  205. Aug. 04, 2020

    Pediatric brain tumors: Rapid and focused care

    Patients referred to Mayo Clinic for pediatric brain tumor can often be seen the next day. A team of specialists works together, drawing on Mayo's broad expertise in neuro-oncology.

  206. June 27, 2020

    Moyamoya: Specialized care for a rare cerebrovascular disease

    Mayo Clinic's moyamoya clinic provides comprehensive care for this rare cerebrovascular disease. Within a single clinic visit, patients can see a multidisciplinary care team and receive a treatment plan.

  207. June 27, 2020

    Glioblastoma extracellular vesicles: Targeting the ill effects, using the good

    The mechanisms by which glioblastoma-derived extracellular vesicles promote tumor growth appear to be more complicated than previously thought. Mayo Clinic is working to exploit certain factors of extracellular vesicles[...]

  208. June 27, 2020

    Stem cell treatment after spinal cord injury: The next steps

    Mayo Clinic's CELLTOP trial involves intrathecal injections of autologous adipose-derived stem cells. Mayo's investigations focus on how stem cells can potentially reverse the microenvironmental changes that inhibit axo[...]

  209. June 13, 2020

    New approaches to immunotherapy for glioblastoma

    Mayo Clinic is advancing new applications of immunotherapy for glioblastoma, with a focus on more-potent and combination therapies for optimal effectiveness.

  210. June 13, 2020

    Robot-assisted brain surgery: Innovating to improve patient care

    Alfredo Quinones-Hinojosa, M.D., chair of Neurosurgery at Mayo Clinic in Jacksonville, Florida, discusses Mayo's efforts to develop robotic technology for performing brain surgery.

  211. April 11, 2020

    Research focus: Spina bifida surgery before birth restores brain structure

    Mayo Clinic researchers have discovered that the benefit from spina bifida repair performed on a fetus in the womb works beyond the spine to improve the brain structure.

  212. Feb. 28, 2020

    Autoimmune neurology: Evolving care for immune-inflammatory diseases of the CNS

    Alfonso (Sebastian) S. Lopez Chiriboga, M.D., and Iris (Vanessa) V. Marin Collazo, M.D., discuss autoimmune neurology, one of neurology's most rapidly evolving subspecialties.

  213. Feb. 28, 2020

    Enterprisewide expertise for spinal oncology care

    Mayo's spinal oncology specialists may employ proton beam therapy, carbon fiber implants or surgical alternatives ― such as decompression, stabilization, ablation technologies or cement augmentation ― to meet each patie[...]

  214. Jan. 31, 2020

    Multiple options for the treatment of children with epilepsy

    At Mayo Clinic Children's Center, research and clinical teams function seamlessly to provide novel therapies to treat seizures and preserve brain function for pediatric patients with epilepsy.

  215. Dec. 21, 2019

    Nanotechnology: Potential options for glioblastoma treatment

    Mayo Clinic is developing ways to use nanoparticles to modify adipose-derived mesenchymal stem cells to secrete anti-tumor proteins. The therapy can then be delivered at the time of tumor resection.

  216. Dec. 21, 2019

    Whole-patient epilepsy care: Uniting technology and psychosocial expertise

    Mayo Clinic's patient-centered care combines sophisticated imaging and surgical techniques with a multidisciplinary focus encompassing the psychosocial problems associated with epilepsy.

  217. Nov. 27, 2019

    Mayo Clinic research is a step toward hope for spinal cord injuries

    In a study of mesenchymal stem cell treatment for spinal cord injury, stem cell intervention following surgery plus physical and occupational therapy restored some function in a patient.

  218. Nov. 15, 2019

    Cellular “Cleaners” More Active in Quiet Brains

    Researchers found that in mice, microglia (immune cells of the central nervous system) are more active when the brain is quiet than when it is awake, due to norepinephrine signaling.

  219. Nov. 09, 2019

    Fetoscopic repair of myelomeningocele: A minimally invasive option

    Fetoscopic repair of myelomeningocele can provide surgical outcomes for the fetus that are similar to those of open surgery while lessening the risk of preterm birth.

  220. Nov. 01, 2019

    Refining CT perfusion imaging for optimal stroke care

    Mayo Clinic specialists fine-tune quantifiable CT perfusion imaging to widen the treatment window for acute ischemic stroke and optimize outcomes in carefully selected patients.

  221. Oct. 11, 2019

    Glioma Forecast? Excellent Chance for Better Weather says Researcher

    Kristin R. Swanson, Ph.D., uses mathematical modeling to document glioblastoma texture, density, direction of growth and rate of invasion ― and predict the best treatment for each patient.

  222. Sept. 05, 2019

    New clue for earlier diagnosis of spinal dural AVF

    Mayo Clinic has identified a unique radiographic finding that facilitates earlier diagnosis of spinal dural arteriovenous fistulas (dAVFs), paving the way to improved treatment outcomes.

  223. Sept. 05, 2019

    Robot-guided technology to enhance spinal surgery

    Mayo specialists employ robotic technology for surgery in the thoracic and lumbar spine. The system can be applied to small, minimally invasive procedures and more-complex open surgeries for oncologic or spinal deformit[...]

  224. Aug. 30, 2019

    Research highlights in Neurology and Neurosurgery ― September 2019

    Studies address checkpoint inhibitors and neurological immune-related adverse events, a tissue biomarker for Parkinson's disease, glioma-related seizures and tumor molecular markers, and imaging factors related to cogni[...]

  225. Aug. 30, 2019

    Innovative options for medically refractory epilepsy

    All three Mayo Clinic campuses offer intensive neurodiagnostic monitoring and extensive medical, neuropsychological and psychosocial treatment for medically refractory epilepsy. Neurologist Anthony L. Ritaccio, M.D., di[...]

  226. Aug. 30, 2019

    Idiopathic transverse myelopathy: Pinpointing the cause

    A review of idiopathic transverse myelitis cases referred to Mayo Clinic from 2010 to 2015 confirms that in nearly 70% of cases, Mayo specialists supplied an accurate diagnosis.

  227. Aug. 30, 2019

    Quantifying neuroimaging: A revolution in patient care

    Mayo Clinic specialists apply innovative neuroimaging techniques and quantifiable machine learning methodology for individualized prognosis and treatment of brain tumors and epilepsy.

  228. Aug. 30, 2019

    Preserving vision, easing headaches: Timely multidisciplinary care for idiopathic intracranial hypertension

    At Mayo Clinic's cerebral spinal fluid dynamics clinic, patients can see a neurologist and neuro-ophthalmologist, have diagnostic testing, and see a neurosurgeon, if needed, within a few days.

  229. Aug. 30, 2019

    Objective testing for sports-related concussion

    The Mayo Clinic Concussion Check Protocol can be used by parents or other adults on the sidelines to quickly assess whether a young athlete should be removed from play.

  230. Aug. 13, 2019

    The BeST approach to functional movement disorders

    Mayo Clinic physiatrist Jeffrey M. Thompson, M.D., discusses the behavioral shaping therapy (BeST) approach to functional movement disorders in this episode of Simply PM&R Podcast.

  231. July 30, 2019

    What's new in motor recovery research and helping patients stay active with spinal cord injuries

    Mayo Clinic physiatrist Kristin L. Garlanger, D.O., describes traumatic and nontraumatic spinal cord injuries and research advances and interventions in this Simply PM&R Podcast episode.

  232. July 16, 2019

    Study identifies clinical phenotype, visual outcomes of MOG-IgG antibody optic neuritis

    Research supports that MOG-IgG positivity should be suspected if optic disk edema is moderate to severe at onset or if MRI shows optic nerve sheath involvement.

  233. July 13, 2019

    BeST program treatment model focuses on motor retraining for functional movement disorders

    Mayo Clinic physiatrist Jeffrey M. Thompson, M.D., discusses the behavioral shaping therapy (BeST) approach to functional movement disorders in this episode of Simply PM&R Podcast.

  234. June 25, 2019

    Research highlights in Neurology and Neurosurgery ― May 2019

    Studies address cerebral microbleeds and amyloid burden, treatment outcomes for spinal cord low-grade gliomas, and unplanned returns to the operating room following neurosurgery.

  235. June 25, 2019

    Halting the circle: Comprehensive neurogenetics test panels

    Mayo Clinic's use of comprehensive next-generation sequencing panels for the diagnosis of neurogenetic disorders covers the expanding genotype-phenotype complexity of these conditions, facilitating timely, accurate diag[...]

  236. June 25, 2019

    Cavernous malformations: 7-tesla MRI enhances expertise

    Mayo specialists use 7-tesla MRI advanced imaging technology to aid diagnosis and decisions about whether cavernous malformations should be surgically removed to prevent bleeding.

  237. June 25, 2019

    Headache disorders: Subspecialized, compassionate care

    Headache neurologist Jonathan H. Smith, M.D., answers questions about subspecialized management of headache disorders.

  238. June 25, 2019

    Onco-epilepsy: Simultaneous management of tumor and seizures

    Mayo's multidisciplinary, proactive approach facilitates the safe removal of noneloquent tissue that is potentially epileptogenic, to manage tumor and epilepsy at the same time.

  239. April 26, 2019

    Coordinated management of young-onset Parkinson's disease

    A new clinic addresses the needs of people who are diagnosed with Parkinson's disease while still working, raising children and living a more active lifestyle than people diagnosed in their late 60s.

  240. April 26, 2019

    Investigating autoinflammatory epileptic encephalopathies in children

    Mayo specialists answer questions about pediatric epileptic encephalopathies caused by neuroinflammation in the absence of antibodies, which can present with signs and symptoms similar to those of autoimmune epilepsy.

  241. March 01, 2019

    Vascular pathologies and Alzheimer's disease: Probing genetic pathways

    With funding from the National Institutes of Health M2OVE-AD Consortium, Mayo researchers investigate genetic pathways that may contribute to both vascular pathologies and Alzheimer's disease.

  242. March 01, 2019

    Neurofibromatosis Clinic: A team for lifelong care

    At Mayo Clinic, multidisciplinary teams of specialists collaborate to manage neurofibromatosis types 1 and 2 (NF1 and NF2) in children and adults.

  243. March 01, 2019

    Endoscopic skull base surgery: The advantages of Mayo's team approach

    Mayo Clinic specialists have extensive experience with endoscopic skull base surgery for the treatment of pituitary tumors, meningiomas, clival tumors, chordomas and craniopharyngiomas.

  244. March 01, 2019

    Research highlights in Neurology and Neurosurgery – March 2019

    Studies address atypical presentations of central nervous system tumors, APOE e4 and Lewy bodies pathology, and obstructive sleep apnea related to unexpected death in people with epilepsy.

  245. Jan. 21, 2019

    Halting the Wheel of Misfortune: ‘A New Era’ in Migraine Care

    New understanding of the biology underlying migraine and the development of mechanism-based, disease-specific therapies developed specifically to treat and prevent the disorder are changing migraine care.

  246. Jan. 11, 2019

    Advances in pediatric refractory epilepsy

    Quantitative morphometric MRI analysis provides voxel-by-voxel comparisons between patient MRIs and a normative pediatric sample to detect the subtle signs of focal cortical dysplasia in children and guide decisions abo[...]

  247. Jan. 11, 2019

    Team approach for optimal tumor care

    Mayo's pediatric brain tumor laboratory has screened thousands of promising drugs in numerous cancer cell lines, uncovering pathways such as signal transducer and activator of transcription 3 (STAT3) proteins and Aurora[...]

  248. Jan. 11, 2019

    Pediatric care in Arizona and Florida

    Mayo Clinic collaborates with Phoenix Children's Hospital in Arizona and Wolfson Children's Hospital in Florida to provide certain pediatric neurological and neurosurgical services. The collaborations offer pediatric pa[...]

  249. Jan. 11, 2019

    Neonatal brachial plexus injuries: An integrated approach

    Mayo Clinic's multidisciplinary team approach to neonatal brachial plexus surgery allows for surgical reconstruction tailored to the individual patient's needs — nerve surgery, tendon transfers and shoulder-to-han[...]

  250. Dec. 11, 2018

    7-Tesla MRI: Pioneering use for patient care

    Clinical use of 7-Tesla MRI enhances Mayo Clinic's ability to manage epilepsy, certain brain and peripheral nerve tumors, and other neurological disorders.

  251. Dec. 11, 2018

    CREST-2 update: Enrolling patients for optimal care

    Mayo neurologist Kevin M. Barrett, M.D., answers questions about the Carotid Revascularization Endarterectomy Versus Stenting Trial 2 (CREST-2), a multicenter, randomized study that compares methods to identify an optim[...]

  252. Dec. 11, 2018

    Neurosurgery registry for continuous improvement of care and quality of life

    Mayo's neurosurgery registry improves patient safety and outcomes by detailing surgical and patient-reported outcomes for all neurosurgical procedures performed at Mayo Clinic. The registry augments efforts to collect s[...]

  253. Nov. 12, 2018

    Neuro-Oncology Testing [A Test in Focus]

    Mayo Clinic Laboratories offers a neuro-oncology expanded gene panel (NONCP) and chromosomal microarray testing (CMAPT) to provide a clear picture of the diagnosis, prognosis and treatment options for patients in neuro-[...]

  254. Oct. 30, 2018

    New directions in the study of Alzheimer’s disease

    Researchers in Jacksonville, Florida, study immune system pathways that contribute to Alzheimer's disease, protein variants that lead to different types of Alzheimer's disease, and biological factors that protect people[...]

  255. Sept. 12, 2018

    Minimally invasive surgery for craniosynostosis

    Minimally invasive surgery can be performed earlier than open surgery for infants with craniosynostosis — with the same outcomes. Babies with multiple suture or syndromic conditions may also benefit.

  256. May 22, 2018

    Subspecialized neuro-ophthalmology care

    Mayo neuro-ophthalmologists work closely with neurologists and neurosurgeons to treat people with any problems involving sight or eye movement that arise from the nervous system, including migraine, stroke or multiple s[...]

  257. May 22, 2018

    Novel MOG assay aids diagnosis of demyelinating diseases

    Mayo Clinic has developed the first test available in the United States to identify the myelin oligodendrocyte glycoprotein (MOG) antibody in patients' blood. The MOG antibody can distinguish a spectrum of autoimmune de[...]

  258. May 19, 2018

    Minimally invasive brain surgery: Safer treatment of deep-seated lesions

    Minimally invasive surgery using a tubular retractor system can be an option for selected patients with subcortical high-grade glioma, metastatic brain tumors or vascular lesions.

  259. April 27, 2018

    Clinical trial of stem cell therapy for traumatic spinal cord injury

    Mayo Clinic is enrolling patients in a clinical trial of adipose stem cell treatment for spinal cord injury caused by trauma. Participants will receive intrathecal injections of adipose-derived mesenchymal stem cells. N[...]

  260. April 27, 2018

    Advances in endoscopic skull base surgery

    Mayo specialists employ image guidance and intraoperative CT, 3-D endoscopy, simulations that integrate endoscopic surgery and proton beam therapy, and 3-D models and holography for pre-surgical planning to treat pituit[...]

  261. Feb. 15, 2018

    Minimally invasive options for medically refractory epilepsy

    The Stereotactic Laser Ablation for Temporal Lobe Epilepsy (SLATE) clinical trial tests the efficacy of MRI-guided laser ablation for mesial temporal sclerosis. The approach allows patients to avoid open temporal lobect[...]

  262. Jan. 30, 2018

    Timely ALS care in Florida

    At Mayo Clinic's campus in Jacksonville, Florida, patients with amyotrophic lateral sclerosis (ALS) benefit from a holistic approach to care, including coordinated appointments that ensure prompt intervention, remote fo[...]

  263. June 28, 2016

    Acoustic neuroma: Treatment and quality of life

    Although benign, acoustic neuromas can impact patients' quality of life significantly. Common symptoms include unilateral hearing loss and tinnitus. Mayo Clinic specialists offer a range of individualized treatment opti[...]

  264. Dec. 23, 2015

    Autoimmune dementia: Defining a treatable disorder

    Patients whose symptoms mimic those of neurodegenerative dementias may have a treatable autoimmune cause for their conditions. Mayo's standardized approach to evaluation of suspected autoimmune neurological disorders in[...]

  265. June 19, 2015

    Complexities of low CSF volume headache

    Spontaneous intracranial hypotension (SIH) is typically the result of spontaneous cerebral spinal fluid (CSF) leak at the spine level. It now appears that the core pathogenic factor in SIH is decreased CSF volume rather[...]

  266. March 14, 2015

    Intraspinal stimulation shows promise for restoring function after spinal cord injury

    Mayo Clinic researchers are studying the use of electronic devices that can wirelessly transmit signals from the brain to the intact spinal cord circuitry below the injury.