March 13, 2021
Mayo Clinic has launched the multidisciplinary Neurofibromatosis Type 2 Clinic to provide comprehensive management of this uncommon genetic condition. The initiative brings together providers in 12 specialties for the diagnosis and treatment of teenagers and adults with neurofibromatosis 2 (NF2).
"Our mission is to offer highly coordinated care that addresses the multifaceted aspects of the disease," says Matthew L. Carlson, M.D., an otolaryngologist at Mayo Clinic in Rochester, Minnesota, and director of the NF2 Clinic. "We are committed to being not just reactive but proactive, to anticipate the future needs of patients and their families."
Patients referred to the NF2 Clinic typically complete imaging tests and multispecialty examinations and start treatment within a few days. Genetic testing is included.
"We use many new methods of genetic testing on blood samples — and also often on available tumor tissue — to establish genetic variation," says Dusica Babovic-Vuksanovic, M.D., a medical geneticist at the Rochester campus of Mayo Clinic.
As a major tertiary center, Mayo Clinic uses cutting-edge imaging to monitor tumors associated with NF2. A range of systemic and targeted treatment options are available. Select patients might also be eligible for clinical trials. "Our goal is to be a comprehensive clinic that provides efficient, streamlined care," Dr. Carlson says.
The Neurofibromatosis Clinic at Mayo Clinic in Phoenix, Arizona, provides multidisciplinary care for children and adults with neurofibromatosis type 1 and NF2.
Managing variable and complex phenotypes
NF2 is characterized by the development of multiple tumors. Although nearly all patients have bilateral vestibular schwannomas, the number and type of additional tumors differ.
"The phenotype is extremely variable," Dr. Carlson says. "A patient might be 70 years old and have no features of the disease except two small vestibular schwannomas. But some people have a diagnosis in their teenage years or even earlier and experience very severe disease. An individual may have more than 50 tumors spread throughout the brain, skull base, spine and peripheral nerves."
Besides affecting the vestibulocochlear nerves, schwannomas can develop in other cranial nerves as well as in the spine and peripheral nerves. Cranial and spinal meningiomas are common; spinal ependymomas also can develop. The tumors can lead to debilitating symptoms including hearing loss, imbalance, facial nerve paralysis, swallowing and speech difficulty, limb weakness, and ocular problems.
"NF2 affects people in many different ways, depending on where the tumors grow," Dr. Carlson says. "Many patients develop hearing loss to the point of being completely deaf, vision loss to the point of blindness and motor difficulties to the point of losing the ability to walk."
To address these needs, the NF2 Clinic brings together specialists in:
- Neurology
- Neurosurgery
- Neuroradiology
- Neurotology
- Audiology
- Radiation oncology
- Medical oncology
- Pediatrics
- Ophthalmology, including neuro-ophthalmology and oculoplastic surgery
- Medical genetics
- Physical medicine and rehabilitation, including physical therapy and occupational therapy
- Psychiatry
Specialists in peripheral nerve disorders, speech pathology, and plastic and reconstructive surgery also are part of the treatment team as needed.
Coordinated appointments
Before arriving at Mayo's NF2 Clinic, patients complete an online survey about their symptoms — both physical and emotional — and their quality of life. Clinic visits typically start on a Monday morning, with comprehensive imaging of the cranial nerves and intracranial space, skull base, spine, and other parts of the body as needed.
Later Monday or on Tuesday, patients have comprehensive neurological and audiological evaluations. "The audiology visit might involve just a hearing test, or evaluation or programming for a cochlear implant or an auditory brainstem implant," Dr. Carlson says.
Patients might also see a medical geneticist. About half of people with NF2 have a family history of the disease, and half present with a new mutation. As an autosomal dominant genetic disorder, NF2 has about a 50% chance of being passed on to children.
"Our genetic counseling can also include referral to Obstetrics and Gynecology for specialized in vitro fertilization," Dr. Babovic-Vuksanovic says. "If a patient already has a child at risk of NF2, we provide screening and surveillance starting at age 12 because tumors associated with NF2 can occur at an early age."
On Wednesday morning, the specialists gather to discuss patients' care. "There are two or three providers for each of the 12 stakeholder specialties — so about 25 to 30 providers during every conference," Dr. Carlson says. "We start by describing a patient's overall picture. Then we talk very specifically about the patient's tumor types and growth."
Volumetric measurements of tumors — obtained by segmenting and analyzing patients' MRIs in a 3D laboratory — are assessed. "What might not be readily evident by visual examination of the MRI can be detected with volumetric analysis," says John (Jack) I. Lane, M.D., a neuroradiologist at the Rochester campus of Mayo Clinic.
Unlike most tumors, which are generally spherical or elliptical, NF2 tumors have highly irregular shapes. "As a result, a 2- or 3-millimeter change on a linear scan can result in a 50% to 80% change in total tumor size, which would be an indication that treatment is needed," says Michael J. Link, M.D., a neurosurgeon at Mayo's campus in Rochester, Minnesota.
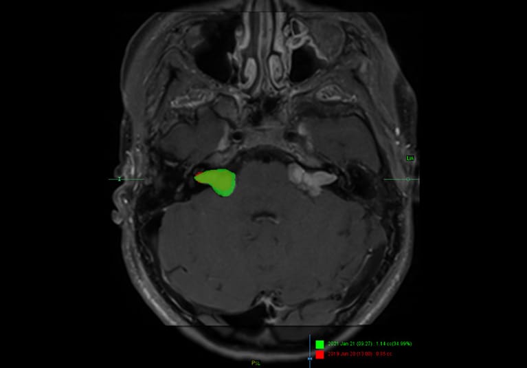
Growth of bilateral vestibular schwannomas
Growth of bilateral vestibular schwannomas
Overlays of MRI demonstrate the growth of bilateral vestibular schwannomas over an 18-month period in a patient with neurofibromatosis type 2. The current tumor volume is shown in green, and the earlier tumor volume in red.
Enhanced monitoring of tumor growth
Enhanced monitoring of tumor growth
Overlays of MRI demonstrate the growth of bilateral vestibular schwannomas over an 18-month period in a patient with neurofibromatosis type 2. The current tumor volume is shown in green, and the earlier tumor volume in red.
The specialists also evaluate overlays of a patient's current scans and scans taken two years earlier. "We can drop the previous image right on top of the current image, and then use a slide bar to pan between them," Dr. Lane says. "Often that analysis can be even more sensitive than volumetric changes in assessing tumor growth."
Based on these detailed evaluations, the group agrees on treatment recommendations. Patients whose tumors aren't causing problems might have no active treatment. If only one tumor is growing, patients might have localized surgical or radiosurgery treatment. Individuals with multiple, progressing tumors typically have chemotherapy, guided by a neuro-oncologist, medical oncologist or pediatric oncologist.
"Sometimes, treatments are done concurrently," Dr. Carlson says. "Patients who have multiple tumors, including a large and active tumor, might need surgery or radiation therapy on top of systemic therapy."
If surgery is recommended, Mayo Clinic neurosurgeons and neurotologists have experience with minimally invasive techniques. The options for radiation therapy include stereotactic radiosurgery — Mayo Clinic has performed Gamma Knife radiosurgery for 30 years — as well as intensity-modulated therapy and proton therapy.
"The multidisciplinary approach is key because the best next steps for patients can vary so much. Everyone on our team has a particular area of expertise," Dr. Link says. Reconstructive surgery also might be needed to restore facial nerve function and eye closure.
Treatment can start as early as the following day, even if that need wasn't anticipated before the patient's arrival. "Certain NF2 care providers have appointment slots set aside. Patients who need radiosurgery, for example, can have it the next day in many cases," Dr. Carlson says.
Patients seen at the NF2 Clinic might qualify for clinical trials. Mayo Clinic participates with centers across the United States and around the world in clinical trials of NF2 medications.
"We are looking for ways to apply systemic therapy to prevent the development of tumors," Dr. Babovic-Vuksanovic says. "It is very important to find alternatives to surgical therapy after tumors develop."
The emotional health of patients and their families is addressed throughout the process of care. "The secondary sequelae of NF2 are often overlooked," Dr. Carlson says. "Depression and anxiety are common. We think it's important to approach the patient holistically and to support the family by bringing in a social worker or suggesting family counseling when needed."
Follow-up visits to the NF2 Clinic are scheduled annually or more frequently as needed. Mayo Clinic is committed to providing lifelong care.
"The magnified care needed by people with NF2 requires the involvement of multiple stakeholders," Dr. Carlson says. "The cross-talk between specialties is seamless. In our model of care, every provider from each contributing specialty shares a singular goal of achieving the best outcome for each patient."
For more information
Neurofibromatosis Type 2 Clinic.