March 27, 2021
High-grade spondylolisthesis has diverse etiologies and presentations, as well as multiple treatment options. Mayo Clinic spinal surgeons tailor treatment to the individual patient to maximize outcomes and avoid future revision surgery.
"We treat many patients who had surgery elsewhere that used inadequate sacral and pelvic fixation. Inadequate fixation leads to higher rates of failed fusion, which requires more-complex surgery to repair," says Jeremy L. Fogelson, M.D., a neurosurgeon specializing in spine care at Mayo Clinic in Rochester, Minnesota. "When we perform an initial surgery for spondylolisthesis, we take a safe but aggressive approach to fixation if needed."
Treating complex curvature
Treating complex curvature
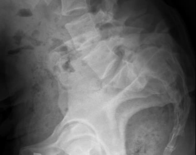
Preoperative X-ray shows severe spinal curvature in a 30-year-old woman with high-grade congenital spondylolisthesis. She presented at Mayo Clinic with intractable back pain and leg pain, which did not resolve with nonoperative treatments.
Successful fusion
Successful fusion
Postoperative X-ray shows treatment with a fusion from L4 to S1, including pelvic fixation with S2 alar-iliac screws, and fixation into L5 with S1 to L5 transdiscal screws. Her pain was resolved and the fusion successfully healed, with eventual removal of the iliac screws.
As a high-volume center, Mayo Clinic regularly sees children and adults with congenital or degenerative spondylolisthesis. Full-body electro-optical system (EOS) imaging, a low-radiation X-ray technology, is routinely used for diagnosis. Mayo Clinic, which has a long history of imaging expertise, was among the first centers in the United States to offer EOS.
"EOS allows us to evaluate the entire spine as well as whole-body and leg alignment," Dr. Fogelson says. "We can factor in all features — cervical spine misalignment, bent knees or hips, leg-length discrepancy — into our treatment plan."
If surgery is needed, Mayo Clinic bases the approach not on a surgeon's preference but on the patient's condition. "We are able to perform the fusion posteriorly, anteriorly or laterally, or in some combination, depending on the individual patient's needs," Dr. Fogelson says. Less invasive surgical techniques also can be used.
In addition to neurosurgeons, Mayo Clinic's spondylolisthesis care team includes specialists in neurology, physical medicine and rehabilitation, and pain medicine. "We work from the beginning of each case with our colleagues in those specialties, to make sure we've maximized any nonoperative treatment possibilities," Dr. Fogelson says.
If surgery is needed, Mayo Clinic's neurosurgeons and orthopedic surgeons routinely collaborate on complex spinal procedures. 3D spinal navigation can be used to guide the placement of spinal hardware, and intraoperative CT checks screw placement. All members of the care team have spinal deformity expertise, including nurses and anesthesiologists dedicated to caring for patients during complex spinal procedures.
Mayo Clinic also works to learn more about optimal surgical approaches to spondylolisthesis. Within the field of spinal surgery, iliac fixation has sometimes been avoided, due to concerns about screws loosening over time and eventually requiring surgical removal related to pain. To investigate one aspect of this issue, Mayo Clinic is participating in a multicenter clinical trial comparing the outcomes of patients having multilevel lumbar fusion with or without simultaneous sacroiliac joint fusion.
Postoperative rehabilitation is an important aspect of treatment. At Mayo Clinic, rehabilitation care is provided by specialists in pain medicine and in physical medicine and rehabilitation, as well as physical and occupational therapists who routinely work with people who have had spinal deformity surgery.
A commitment to rehabilitation, combined with skilled surgical techniques, allows for positive results from spondylolisthesis surgery. "People facing lumbar fixation surgery often worry about loss of motion in the spine and further disability," Dr. Fogelson says. "But once the pain generator is fixed, most patients gain function. Spinal fusion can have very good outcomes when performed well and for the right reasons."
For more information
SI-BONE Inc. SI Joint Stabilization in Long Fusion to the Pelvis (SILVIA). ClinicalTrials.gov.