April 22, 2023
New technology for CSF-venous fistulas
New technology for CSF-venous fistulas
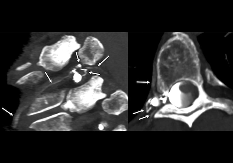
Photon-counting detector CT images identify a cerebral spinal fluid (CSF)-venous fistula in a patient who experienced years of intractable headaches. The patient's brain and spinal MRI had findings suggestive of spontaneous intracranial hypotension. The CT images — obtained almost immediately after iodinated contrast injection into the thecal sac — clearly show contrast dye leaking into multiple veins (arrows). The fistula was successfully treated with transvenous liquid embolization, and the patient's symptoms resolved overnight.
Mayo Clinic is one of the only centers in the United States using photon-counting detector CT myelography to localize cerebrospinal fluid (CSF) leaks. The cutting-edge technology allows Mayo Clinic neuroradiologists to identify CSF-venous fistulas that can go undetected even on digital subtraction myelography (DSM).
"This new technology has provided us with a lot of benefit," says Ajay A. Madhavan, M.D., a neuroradiologist at Mayo Clinic in Rochester, Minnesota. "We've done about 15 cases so far, and in all but one, we found a CSF-venous fistula. That includes seven patients who initially had a DSM that showed nothing."
Photon-counting detector CT simultaneously provides enhanced spatial resolution, fast scanning times and multi-energy imaging. "This combination of features is helpful for identifying these tiny CSF leaks," says Francis Baffour, M.D., a radiologist and associate medical director of the CT Clinical Innovation Center at Mayo Clinic's campus in Minnesota.
"The images are just so much clearer — the anatomy is displayed the way we studied it in medical school."
First described in 2014, CSF-venous fistulas are now known to be a common cause of spontaneous intracranial hypotension. The most frequent symptom is an orthostatic headache, which in itself can be debilitating. Without treatment, the symptoms can become far more severe, progressing even to coma. Mayo Clinic's multidisciplinary CSF dynamics clinic, led by Jeremy K. Cutsforth-Gregory, M.D., manages care for these patients.
"CSF-venous fistulas are treatable — when we can find them," Dr. Madhavan says. "That's the motivation for trying to pursue whatever types of imaging can identify them."
'A fundamental shift'
CSF-venous fistulas are notoriously difficult to localize. The contrast dye used in imaging leaks into a vein and is quickly carried away with CSF into the central venous system. "It's a very transient image finding," Dr. Madhavan says.
Mayo Clinic began using DSM to localize CSF-venous fistulas in 2018. "But in a subset of patients — about 10-20% of individuals with clinical symptoms and MRI findings suggestive of spontaneous intracranial hypotension — we weren't able to find a fistula using DSM," Dr. Madhavan says.
The CT Clinical Innovation Center has worked for nearly a decade to help develop clinical applications for photon-counting CT technology. Mayo Clinic installed the world's first of these scanners in 2014 and began using the third-generation version clinically in 2021. "It's a fundamental shift in CT imaging," Dr. Baffour says.
Conventional CT uses a two-step conversion process, in which the absorbed X-rays are first converted into visible light and then converted as an aggregate into an electrical signal. In contrast, photon-counting detectors directly count each X-ray photon to characterize its energy.
"There is no light conversion step. The detector essentially picks up every single X-ray photon, which is unique for CT imaging," Dr. Baffour says.
In addition to enhanced spatial resolution, the advantages include:
- Spectral imaging, which allows for multi-energy capabilities such as enhancing iodine signal for contrast-enhanced studies.
- Improved temporal resolution, which allows faster scanning times.
- Reduced image noise levels and the potential to scan with lower radiation doses.
Unlike spinal DSM — which typically must be performed over two days, due to limits on the amount of contrast dye that can be injected — CT can safely scan both sides of the spine in a single setting. "It's a less invasive procedure and more convenient for the patient," Dr. Madhavan says.
What patients experience
The procedures for conventional CT and photon-counting detector CT myelography are similar. After contrast dye is injected, the imaging usually takes less than 10 minutes.
"One significant innovation at Mayo Clinic is that we do needle placement and dye injection on the photon-counting scanner table," Dr. Madhavan says. "That allows us to scan the patient immediately after injecting the dye. We're more likely to find the CSF-venous fistula if we perform imaging as quickly as possible after injecting the contrast."
Mayo Clinic also uses a novel procedure to treat CSF-venous fistulas. The technique — pioneered by Waleed Brinjikji, M.D., a neurointerventionalist at Mayo Clinic's campus in Minnesota — involves a liquid embolization system and avoids spinal surgery. All individuals whose CSF-venous fistulas have been localized with photon-counting detector CT at Mayo Clinic have been successfully treated.
Collaboration that improves care
Mayo Clinic also uses photon-counting detector CT for cerebral angiography and temporal bone imaging. As early adopters, Mayo Clinic specialists have experience with the new technology.
"There's a learning curve with every new technology," Dr. Baffour says. "Fortunately, Mayo Clinic has worked with different versions of the scanner during its development. We have a little bit of a head start and an incredible team of scientists who understand how to make this technology work."
The collaboration between clinicians and the CT Clinical Innovation Center epitomizes Mayo Clinic's approach to improving patient care.
"As always, Mayo's team-centric approach made this possible," Dr. Madhavan says. "There are very few places in the world where you can go so quickly from an idea to a new technologic application to treatment, with such meaningful patient outcomes."
For more information
CT Clinical Innovation Center. Mayo Clinic.
Refer a patient to Mayo Clinic.