News

  1. May 02, 2026

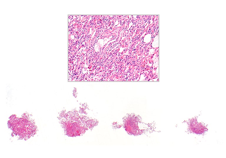
    Amyloid and light chain deposition disorders: Clinical overview and pulmonary implications

    Pulmonary manifestations of amyloidosis and light chain deposition disease often mimic more common disorders and might be underrecognized. Early diagnosis is essential to allow for timely evaluation and treatment.

  2. May 02, 2026

    Mayo Clinic contributions to global insights on pulmonary hypertension in interstitial lung disease

    In a recent study published in the American Journal of Respiratory and Critical Care Medicine, investigators from the Pulmonary Vascular Research Institute GoDeep consortium analyzed outcomes in patients with PH-ILD acr[...]

  3. May 02, 2026

    Optimizing transitions of care for patients on long-term noninvasive ventilation

    While the benefits of noninvasive ventilation are well established, the transition from hospital to home remains a vulnerable juncture. A recently published review combines existing literature and expert perspectives on[...]

  4. March 14, 2026

    Obstructive sleep apnea surgery options include a new device

    A new type of bilateral hypoglossal nerve stimulation therapy is one of the many obstructive sleep apnea treatments available at Mayo Clinic.

  5. Dec. 09, 2025

    Tackling incidentally detected lung nodules to facilitate the early diagnosis of lung cancer

    Despite progress in detection and therapies, lung cancer remains the deadliest malignancy. Based on recent findings, Mayo Clinic implemented a structured incidental lung nodule management program to increase detection.

  6. Sept. 30, 2025

    Caring for young pediatric patients experiencing airway issues

    A pediatrician shares her treatment approach for young patients who have trouble breathing. She discusses the importance of readiness, the PAT, the anatomy of small children and how to intervene.

  7. May 17, 2025

    Revolutionizing the prediction and management of pulmonary diseases and asthma

    Polygenic risk scores add up the effects of genetic variants to assess an individual's risk of developing a specific disease.

  8. May 17, 2025

    Research aims to advance the understanding of disease protection and progression in mycobacterial infections

    Mayo Clinic researchers are studying the effect of estrogen on immune response induced by mycobacterium avium complex infections in vitro using a mouse model and human blood samples.

  9. Dec. 19, 2024

    An electrocardiogram-based artificial intelligence algorithm for early detection of pulmonary hypertension

    A precise, noninvasive screening tool for pulmonary hypertension (PH) is needed to improve early detection and treatment. A recent Mayo Clinic study found that an early-detection ECG-based AI algorithm has the potential[...]

  10. Nov. 20, 2024

    Lung transplantation: When to refer

    People with serious lung disease who meet certain criteria for lung function can undergo evaluation for treatment with a lung transplant.

  11. Sept. 10, 2024

    Home rehabilitation for chronic obstructive pulmonary disease

    Rehabilitation for individuals with COPD is considered one of the cornerstones of therapy. Unfortunately, less than 2% of individuals complete rehab due to a variety of barriers. A new option at Mayo Clinic helps addres[...]

  12. May 08, 2024

    Kefir may improve gut health of patients in the ICU

    Gut microbiome derangement is frequent in the ICU, potentially leading to a heightened risk of infections, organ failure, septic shock and mortality. A recent study assessed the safety, feasibility and impact of kefir a[...]

  13. Dec. 06, 2023

    Advancing science through medical education

    Within Pulmonary and Critical Care Medicine at Mayo Clinic, educators and developing education scientists are honing their craft — leading to groundbreaking initiatives aimed to enhance understanding and practice [...]

  14. Sept. 27, 2023

    Mayo Clinic's Center for Sleep Medicine

    One of the largest sleep medicine facilities in the U.S., Mayo Clinic's Center for Sleep Medicine offers more comprehensive and accurate diagnosis and treatment plans for a broader range of patients.

  15. Sept. 27, 2023

    Respiratory complications of hematopoietic stem cell transplantation

    Hematopoietic stem cell transplantation (HCT) is a potentially curative and lifesaving treatment option for hematologic cancers such as leukemia, lymphoma and myeloma. While other aspects of post-HCT care have improved,[...]

  16. Sept. 07, 2023

    A more accurate lung nodule biopsy: Combining shape-sensing bronchoscopy with mobile 3D imaging

    CT-to-body divergence is a challenge in lung cancer diagnosis via bronchoscopy. By combining mobile 3D imaging with shape-sensing robotic-assisted bronchoscopy, Mayo Clinic researchers achieve tool-in-lesion in 96.7% of[...]

  17. May 11, 2023

    Overcoming language barriers to optimize patient care

    Health care disparities, in particular language barriers, can impact complex medical care and patient care during critical illness and at the end of life.

  18. April 27, 2023

    Lung cancer care advancements in the American Southwest

    Mayo Clinic experts have transformed clinical care for patients with lung cancer. With more screening options and less invasive surgical options, patients with lung cancer can have improved outcomes.

  19. Sept. 10, 2022

    Treating patients experiencing post-ICU syndrome

    The Mayo Clinic ICU Recovery Program (MCIRP) continues to offer fully virtual appointments to help practitioners develop a comprehensive recovery plan.

  20. July 29, 2022

    Geographical allocation changes boost heart and lung transplant program at Mayo Clinic in Minnesota

    An expanded geographical reach with the 2017 to 2018 U.S. heart and lung transplant allocation changes has prompted significant program expansion at Mayo Clinic's Minnesota campus.

  21. July 14, 2022

    Tracheal wedge excision for pediatric idiopathic tracheal stenosis (PITS)

    A multidisciplinary team at Mayo Clinic Children's Center provides comprehensive diagnostic and treatment services for children with PITS, a rare disease that [...]

  22. July 14, 2022

    Technology, AI advancements in pediatric asthma care

    Virtual DOT records short, time-stamped videos of patients taking each dose of a prescribed inhaler. These recordings help health care providers correct and improve inhaler technique for optimal results.

  23. March 30, 2022

    Potential novel treatments for advanced-stage lung cancer

    Mayo Clinic participates in multiple neoadjuvant immunotherapy trials to better assess response rates and enhance operability in patients with advanced-stage lung cancer.

  24. March 30, 2022

    Steroid use in pneumonia

    Novel strategies that consider patient-specific variables, including markers of inflammation, may result in an individualized approach to corticosteroid use in the treatment of patients with community-acquired pneumonia[...]

  25. Dec. 28, 2021

    Right-fit care for patients with severe lung disease: From clinical trials to transplant

    A lung transplant surgeon discusses Mayo Clinic's collaboration with local physicians to determine the best treatment for each patient, including transplant, clinical trials or other therapies, or transplant prehabilita[...]

  26. Dec. 03, 2021

    New frontiers in the treatment of COPD

    Treatment for patients with chronic obstructive pulmonary disease (COPD) — including emphysema, chronic bronchitis and COPD exacerbation — can be tailored to each patient's phenotype.

  27. Dec. 03, 2021

    Clinical decision support systems for personalized management of patients with acute kidney injury

    Advances in digital health techniques provide tremendous opportunities to improve the care of patients at risk of or with acute kidney injury or its related complications.

  28. Aug. 11, 2021

    Organ perfusion systems a boon to heart and lung transplants

    Transplant specialists at Mayo Clinic in Florida use organ perfusion systems for some heart and lung transplants, resulting in multiple advantages for recipients — including saving lives.

  29. July 31, 2021

    Pulmonary function laboratories offer comprehensive testing services with advanced diagnostics

    Mayo Clinic pulmonary function laboratories' updated infection control practices in response to COVID-19 allowed needed testing services to reopen quickly and personal protective measures to be de-escalated safely.

  30. July 31, 2021

    Establishing the pulmonary oncologic toxicity clinic to care for patients with lung toxicity

    Mayo Clinic Pulmonary and Critical Care Medicine is establishing a pulmonary oncologic toxicity clinic to care for patients with lung toxicity from chemotherapy, radiation and immunotherapy.

  31. July 31, 2021

    New treatment options for patients with obstructive sleep apnea who are intolerant to positive airway pressure therapy

    Mayo Clinic offers upper airway stimulation therapy, oral appliance therapy and the expertise of a sleep surgeon for patients who are positive airway pressure (PAP) therapy intolerant.

  32. April 03, 2021

    Cough Clinic employs novel pharmacologics to address unexplained or refractory chronic cough

    Mayo Clinic Cough Clinic specialists research and employ novel pharmacologic treatments and collaborate with Otolaryngology colleagues to address frustrating unexplained or refractory chronic cough.

  33. April 03, 2021

    Mayo Clinic Pulmonary and Critical Care Medicine's commitment to clinical practice excellence, education enhancement and research advancement

    Mayo Clinic is one of the few U.S. centers experienced in successful performance of balloon pulmonary angioplasties for patients with nonoperable chronic thromboembolic pulmonary hypertension.

  34. April 03, 2021

    Expiratory central airway collapse is challenging to identify and underdiagnosed

    Dynamic flexible bronchoscopy is the diagnostic criterion standard for expiratory central airway collapse, which can coexist with and mimic asthma, chronic obstructive pulmonary disease and bronchiectasis.

  35. Nov. 19, 2020

    Patient-specific airway stents created using 3D printing technology

    Mayo Clinic is one of the first centers to offer patients with complex central airway stenosis patient-specific, customized airway stents approved by the Food and Drug Administration.

  36. April 23, 2020

    Regenerative medicine in lung diseases

    Research supports that it is safe and feasible to provide cell therapy intravenously to lung transplant recipients who have developed chronic lung allograft dysfunction.

  37. April 03, 2020

    Home sleep apnea test simplifies diagnosing obstructive sleep apnea

    Mayo Clinic Center for Sleep Medicine innovation reduces the time and effort patients expend in obtaining accurate diagnoses and personalized treatment plans for obstructive sleep apnea.

  38. April 03, 2020

    Mayo Clinic on the path to personalization of mechanical ventilation

    As mortality improvements in acute respiratory distress syndrome have stagnated and the concept of safe ventilation continues to evolve, the search for better and more-integrative therapeutic targets has ensued.

  39. April 03, 2020

    The gut-lung axis: Intestinal microbiota and inflammatory lung disease

    In this Q and A, Mayo Clinic pulmonologist Joseph H. Skalski, M.D., discusses research into intestinal bacterial and fungal microbiota in patients with obstructive disease phenotypes.

  40. April 03, 2020

    Update on ICU sedation

    At Mayo Clinic, the mechanical ventilation order set in the ICU no longer includes mandatory use of sedative medications.

  41. Feb. 25, 2020

    Molecular Detection for Tuberculosis Drug Resistance [A Test in Focus]

    Mayo Clinic Laboratories' whole-genome sequencing testing provides molecular detection of well-characterized drug resistance variants in Mycobacterium tuberculosis complex by sequencing Mycobacterium tuberculosis isolat[...]

  42. Oct. 18, 2019

    Updates in interstitial lung disease: Current facets of anti-fibrotic therapy

    Teng Moua, M.D., discusses recent clinical trials and current research into the treatment of idiopathic pulmonary fibrosis (IPF) and non-IPF-progressive interstitial lung diseases.

  43. Oct. 15, 2019

    Pediatric sleep medicine integrates with multidisciplinary clinics to facilitate communication and treatment

    Mayo Clinic's Center for Sleep Medicine team provides multidisciplinary care for children in special populations or with medically complex needs.

  44. Oct. 15, 2019

    Ion robotic bronchoscopy system the focus of a multicenter trial

    Mayo Clinic has joined five other medical centers to conduct a multicenter trial, enrolling 300 patients to prospectively evaluate the use of a robotic bronchoscopy system.

  45. Oct. 15, 2019

    Advancing care in chronic obstructive pulmonary disease

    Mayo Clinic's home-based pulmonary rehabilitation program provides patients who have chronic obstructive pulmonary disease (COPD) with a health coach and a computer-guided activity and monitoring program.

  46. Oct. 15, 2019

    Management of fibrosing mediastinitis

    Specialists at Mayo Clinic have used off-label rituximab to treat nearly 30 patients with fibrosing mediastinitis successfully. Disease progression was almost universally halted and two-thirds of the patients improved s[...]

  47. April 19, 2019

    Bronchoscopic lung volume reduction therapy approved for severe emphysema

    Bronchoscopic lung volume reduction has emerged as a potential alternative to lung volume reduction surgery and a less invasive method by which to achieve lung volume reduction in patients with emphysema and hyperinflat[...]

  48. Jan. 11, 2019

    Update on the management of ANCA-associated vasculitis

    Anti-neutrophil cytoplasmic antibody (ANCA)-associated vasculitis comprises three syndromes, all with frequent respiratory manifestations. Studies indicate that ANCA specificity is more important for prognosis, relapse [...]

  49. Jan. 08, 2019

    Cone-beam CT for enhanced bronchoscopic access to pulmonary nodules

    Interventional pulmonologists and thoracic surgeons are exploring the use of cone-beam CT during bronchoscopy. Cone-beam CT image quality is sufficient for localizing pulmonary nodules, with the added benefit of real-ti[...]

  50. Jan. 08, 2019

    Anti-interleukin-5 therapy for severe asthma: A new therapeutic option

    Anti-interleukin-5 therapy is approved for patients with refractory asthma with an eosinophilic phenotype. The severe asthma care team at Mayo Clinic has expertise in identifying appropriate patients for this step-up th[...]

  51. Jan. 08, 2019

    Update in pleural disease

    This update addresses some of the latest understanding and approaches to management of malignant pleural disease, including use of the RAPID multistep scoring system to better predict prognosis in those patients who pre[...]

  52. Jan. 08, 2019

    Multidisciplinary care of idiopathic subglottic stenosis

    A combined approach of inhaled glucocorticoids, trimethoprim-sulfamethoxazole, and proton-pump inhibitors plus lifestyle modifications for the treatment of idiopathic subglottic stenosis (ISS) suggests that ISS recurs l[...]

  53. Sept. 12, 2018

    New definitions and diagnoses in interstitial pneumonia

    While interstitial pneumonias have been studied and recognized over several decades, a new classification system provides a more intuitive organization of both the prevalence and natural course of specific histologic pa[...]

  54. Sept. 12, 2018

    Anti-fibrotic therapy in the treatment of IPF: Ongoing concerns and current practices

    Pirfenidone and nintedanib are approved for treatment of idiopathic pulmonary fibrosis (IPF), but questions remain regarding indications and timing of initiation, side effects, and long-term outcomes.

  55. Sept. 12, 2018

    Lung transplantation: Challenges and opportunities

    Mayo Clinic and United Therapeutics Corp. are furthering the study of ex vivo lung perfusion and ventilation to resuscitate and support donor lungs that would otherwise be unavailable for transplant.

  56. Feb. 10, 2018

    The emerging option of upper airway stimulation therapy

    Activation of the genioglossus muscle via stimulation of the hypoglossal nerve is a new approach for treatment of obstructive sleep apnea (OSA). In a 2014 study, stimulation was associated with a 68 percent reduction in[...]

  57. Feb. 10, 2018

    The gaining popularity of oral appliances

    Oral appliances can improve important outcomes in selected patients with more severe obstructive sleep apnea (OSA). Innovations include compliance recorders to help in long-term follow-up and emerging technologies to re[...]

  58. Feb. 10, 2018

    Maxillomandibular advancement surgery: A classic procedure refined

    MMA should be considered for any patient with moderate to severe obstructive sleep apnea if surgical management is desired. At Mayo Clinic, more than half of patients with obstructive sleep apnea achieve elimination (ap[...]

  59. Feb. 09, 2018

    Advances in lung cancer immunotherapy and management of immune-mediated adverse events

    A new study explores the combination of the intratumoral administration of the measles virus with systemic PD-L1 targeted immunotherapy using atezolizumab for second line therapy of non-small cell lung cancer.

  60. Feb. 09, 2018

    Care of the patient with lung cancer at Mayo Clinic: Mayo Clinic tumor board provides multidisciplinary expertise

    The multidisciplinary assembly provides up-to-date treatment options for patients with lung cancer, explores enrollment in clinical trials, and enhances cross-discipline education from the exchange of information and ex[...]

  61. Jan. 20, 2018

    Noninvasive radiologic biomarkers to individualize lung cancer therapy

    Computer-Aided Nodule Assessment and Risk Yield (CANARY) image analysis software has shown promise in noninvasively predicting epithelial growth factor receptor (EGFR) status of adenocarcinoma of the lung, allowing for [...]

  62. Feb. 26, 2016

    Transbronchial cryobiopsy in diffuse parenchymal lung disease

    Mayo pulmonary specialists have evaluated the use of cryobiopsies in selected patients with diffuse parenchymal lung diseases for several years. Advantages include the ability to collect much larger specimens while pres[...]

  63. March 03, 2015

    Mayo Clinic's Cystic Fibrosis Foundation-designated CF care center

    Mayo's Cystic Fibrosis Center specializes in the care of pediatric and adult patients - Cystic fibrosis is the most common genetic disease of Caucasians. Expected survival has increased to 38-plus years, thanks to adher[...]