Feb. 26, 2016
Diffuse parenchymal lung diseases comprise a group of noninfectious, non-neoplastic lung diseases, each characterized by varying degrees of inflammation or fibrosis or both of the parenchyma of both lungs.
The evaluation and management of patients with these diseases, particularly those with idiopathic interstitial pneumonias, often involves a multidisciplinary team approach. The differentiation of these disorders may require biopsy material, particularly in patients with atypical clinical or radiological presentations.
The diagnostic accuracy of standard forceps transbronchial biopsies ranges from 50 to 70 percent but also depends on the underlying disease. Poor results are seen in usual interstitial pneumonia, pneumoconiosis, respiratory bronchiolitis associated interstitial lung disease, nonspecific interstitial pneumonia and Langerhans's cell histiocytosis. These patients may require surgical lung biopsy to obtain a confident diagnosis.
Unfortunately, surgical lung biopsies have a risk of serious complications, including a 30-day mortality ranging from 2.7 to 12 percent in patients with interstitial lung disease. Short-term mortality has been as high as 21 percent for patients with idiopathic pulmonary fibrosis undergoing thoracotomy or video-assisted thoracoscopic surgery.
Flexible cryoprobe biopsies
A potential alternative to forceps transbronchial biopsies or surgical biopsies is biopsies obtained with the use of a flexible cryoprobe. Cryobiopsies offer specialists the advantage of being able to collect much larger specimens than can be collected with forceps biopsy, plus preserve the underlying lung architecture similar to a frozen section specimen. The biggest disadvantage of the lung biopsy with a cryoprobe is a higher risk of substantial bleeding and pneumothorax.
Lung allograft with focally collapsed and crushed alveoli
Lung allograft with focally collapsed and crushed alveoli
A conventional transbronchial biopsy of a lung allograft with focally collapsed and crushed alveoli. Hematoxylin-eosin stain, 12.5 times magnification; insert 200 times magnification.
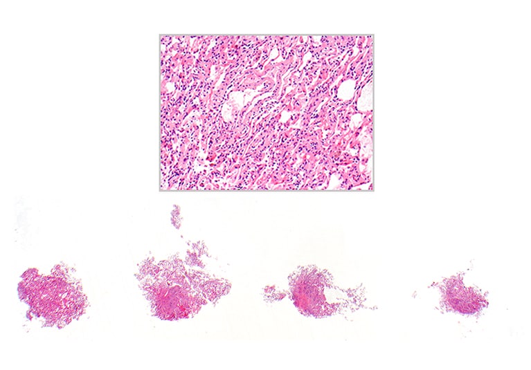
Lung allograft showing well-expanded alveoli
Lung allograft showing well-expanded alveoli
A cryobiopsy of a lung allograft shows well-expanded alveoli. A large airway also is present (left, below insert). Hematoxylin-eosin stain, 12.5 times magnification; insert 200 times magnification.
No systematic controlled trials have compared cryobiopsies with standard forceps biopsies or thoracoscopic biopsies in idiopathic interstitial pneumonias, but several centers have reported case series using cryobiopsies. These case series have demonstrated advantages of cryobiopsies over forceps biopsies, including sample size and the presence of alveolar tissue without the crush artifacts. Biopsies with more alveolar tissue enable the addition of immunohistochemistry and thus an increased diagnostic value.
Mayo pulmonary specialists have been evaluating the use of cryobiopsies for the past several years in selected patients with diffuse parenchymal lung diseases.
Patients with diffuse parenchymal lung diseases are triaged to Mayo's multidisciplinary Interstitial Lung Disease Clinic, directed by Teng Moua, M.D., Pulmonary and Critical Care Medicine. Team members include pulmonologists, pathologists, radiologists, interventional pulmonologists and thoracic surgeons, who combine their expertise in the assessment, diagnosis and treatment of these patients.
For more information, email Dr. Moua. To refer a patient or request an appointment, call 507-266-0415.