Breast radiotherapy team at Mayo Clinic adopts shortened courses to spare normal tissue

Oct. 30, 2020

An important goal of breast radiotherapy is to improve disease control while limiting radiation exposure to the heart, lungs and other normal tissues. Mayo Clinic specialists are on the leading edge of investigations into new short-course radiation regimens that are proving to be as safe and effective as protracted treatment courses. With these techniques, radiotherapy is completed in just days, instead of over many weeks, as has historically been the experience of patients with breast cancer. Thus, treatment goals are achieved while patients spend less time at the hospital away from work and loved ones.

A course of radiotherapy is typically divided into multiple treatments, or fractions, administered over consecutive days. For many years, specialists believed that administration of breast radiotherapy in small daily fractions was gentlest for normal tissues. Therefore, breast radiotherapy was typically administered in 25 to 33 fractions over five to seven weeks. However, data from clinical trials that emerged over the past 10 years contradicted this long-held view.

"Two trials of whole-breast radiation after lumpectomy that were conducted in the United Kingdom and Canada heavily influenced our program," said Robert W. Mutter, M.D., a radiation oncologist at Mayo Clinic's campus in Rochester, Minnesota, and leader of the Mayo Clinic Breast Cancer Radiation Oncology Group. "These studies demonstrated that 15 to 16 fractions given over three weeks with slightly bigger doses per day not only was as effective at preventing recurrence as a standard five-week regimen, but also reduced some side effects in patients. Our takeaway from these results was that shortening radiotherapy courses to less than three weeks might further improve outcomes for patients."

Based on these findings, Mayo Clinic investigators have been evaluating whether breast radiotherapy can be condensed to as few as three fractions in select patients with favorable breast cancer, and whether short-course regimens are also appropriate in patients with more advanced breast cancer, such as those who have undergone mastectomy, including with reconstruction. Their study outcomes were published in Radiotherapy and Oncology in 2019.

Decreased radiation exposure

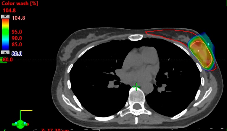
Patients at Mayo Clinic have access to advanced technology and normal tissue-sparing techniques that may not be available at other centers, including proton beam therapy. The Mayo Clinic Proton Beam Therapy Program uses pencil beam scanning, which Mayo Clinic specialists have shown reduces radiation exposure to normal organs in patients with breast cancer. Mayo Clinic investigators have conducted some of the first trials examining whether short-course radiation might also be beneficial in patients with breast cancer undergoing proton therapy.

"One of the challenges is the higher cost of the heavy equipment required to deliver proton therapy, which has limited access," says Dr. Mutter. "By reducing the number of fractions in proton therapy courses, more patients could potentially receive this promising organ-sparing treatment."

Mayo Clinic breast radiation oncology specialists recently adopted five-fraction whole-breast radiotherapy as a new standard treatment option for patients with early-stage breast cancer who do not require lymph node irradiation. This practice change was based on five-year outcomes from the United Kingdom FAST-Forward clinical trial, published in The Lancet in 2020, which showed that five fractions over one week was noninferior to 15 fractions over three weeks for disease control and normal tissue effects, as well as Mayo Clinic's own experience investigating five-fraction whole-breast treatment. Now, Mayo Clinic investigators are testing whether five-fraction radiotherapy is also appropriate in patients after lumpectomy or mastectomy that requires lymph node irradiation; the current standard has remained 25 fractions in North America.

"We are very excited to have this trial to offer patients," said Carlos E. Vargas, M.D., a radiation oncologist at Mayo Clinic's campus in Phoenix/Scottsdale, Arizona, and principal investigator of a study to evaluate hypofractionated radiotherapy to the whole breast or post-mastectomy chest wall including regional nodal irradiation. "If we can show that patients with locally advanced breast cancer can also safely finish radiotherapy in five treatments, this would be a significant advance for patients, many of whom have already been through long courses of chemotherapy and surgical recovery when radiotherapy is initiated. Patients can be treated with either traditional radiotherapy or proton therapy on this trial, which is another unique aspect of the study."

Partial breast irradiation

Mayo Clinic investigators have also been at the cutting edge of a newer form of radiotherapy called partial breast irradiation. Partial breast irradiation is a type of radiation therapy given after lumpectomy to only the portion of the breast that contained the excised tumor.

"It has long been established that lumpectomy plus whole-breast irradiation achieves disease control and survival equivalent to mastectomy in early-stage breast cancer," said Laura A. Vallow, M.D., a breast radiation oncologist in at Mayo Clinic's campus in Jacksonville, Florida. "Recent studies have now established that select patients with small, node-negative tumors who have undergone lumpectomy can achieve the same excellent outcomes with partial-breast irradiation, but with less normal-tissue exposure."

Over the past five years, Mayo Clinic specialists and others have been evaluating a new short-course partial-breast irradiation regimen in which the treatment is administered in just three daily fractions. Their findings were published in the International Journal of Radiation Oncology-Biology-Physics in 2019. "Many patients anticipate needing five to six weeks of daily treatment when they see us in clinic," said Dr. Mutter, who leads the Mayo three-fraction partial-breast irradiation studies. "It is incredibly gratifying to see their pleasant surprise when we explain they have an opportunity to be finished with all of their radiotherapy in just three days."

Related clinical research studies

Ongoing Mayo Clinic patient-centered research studying short-course radiotherapy includes:

  • Trials investigating ultrahypofractionated (approximately five fractions) radiation regimens for postmastectomy and whole-breast radiotherapy in patients requiring nodal irradiation designed to further shorten the course and reduce side effects of treatment
  • A clinical trial investigating the combination of radiotherapy plus an ATR inhibitor for patients with residual triple-negative or high-risk hormone receptor positive breast cancer after preoperative chemotherapy, a subset of patients at high risk of relapse with standard therapy
  • A clinical trial investigating adjuvant poly-(ADP-ribose) polymerase inhibition with radiotherapy in inflammatory breast cancer
  • Innovative strategies to prevent radiation skin burns with barrier films not widely available outside of Mayo Clinic
  • Partial breast irradiation regimen for early-stage breast cancer that enables all radiotherapy to be completed in just three days
  • Proton therapy clinical trials

For more information

Smith NL, et al. Post-mastectomy intensity modulated proton therapy after immediate breast reconstruction: Initial report of reconstruction outcomes and predictors of complications. Radiotherapy and Oncology. 2019;140:76.

Proton Beam Therapy Program. Mayo Clinic.

Brunt AM, et al. Hypofractionated breast radiotherapy for 1 week versus 3 weeks (FAST-Forward): 5-year efficacy and late normal tissue effects results from a multicentre, non-inferiority, randomised, phase 3 trial. The Lancet. 2020;395:1613.

Clinical trials: A Study to Evaluate Hypofractionated Radiotherapy to the Whole Breast or Post-mastectomy Chest Wall Including Regional Nodal Irradiation. Mayo Clinic.

Jethwa KR, et al. Three-fraction intracavitary accelerated partial breast brachytherapy: Early provider and patient-reported outcomes of a novel regimen. International Journal of Radiation Oncology-Biology-Physics. 2019;104:75.

Breast Clinic: Clinical trials. Mayo Clinic.