Total elbow replacement: Matching the success of hips and knees

March 20, 2018

Mayo Clinic has pioneered an approach to elbow replacement surgery that seems capable of offering young, active patients a stable and durable treatment. A 20-year effort initiated by Mayo Clinic has resulted in the development of a prosthetic elbow and surgical technique that appear to provide an elbow replacement with quality approaching that of hip and knee replacements.

"We are on the verge of being able to offer patients a joint replacement of the elbow that we can expect to remain stable and not wear out prematurely. It's a game-changer," says Shawn W. O'Driscoll, M.D., Ph.D., a consultant in Orthopedic Surgery at Mayo Clinic in Rochester, Minnesota.

Dr. O'Driscoll and colleagues at Mayo Clinic and other centers have been implanting the elbow design since 2001. "With a follow-up of up to 16 years, rates of revision due to wear are truly minimal," he says. "We will continue to study the procedure's longevity, but I think we can say we are accomplishing our goal of bringing elbow replacement to the level of hip and knee replacement."

Out of the Dark Ages

Advances in hip and knee replacement have made those procedures fairly routine. "When performed by surgeons with subspecialist training, total knee and total hip replacements are done at a very high level. By comparison, elbow replacement has been in the Dark Ages," Dr. O'Driscoll says.

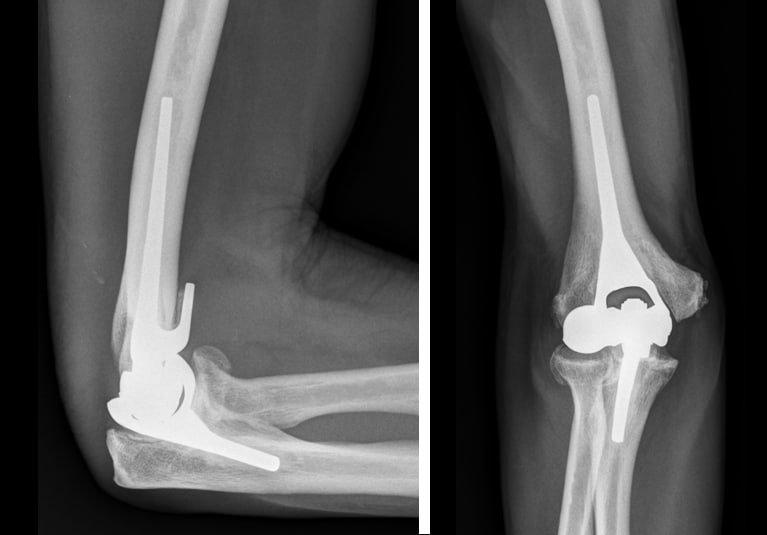
Historically, the procedure has had a high rate of complications, revision and failure. Unlinked elbow replacements have often resulted in dislocations. In linked elbow replacements, the prosthetics' hinges and plastic cushions have tended to wear out.

"The general sense is that patients do poorly," Dr. O'Driscoll says. "So except in the direst circumstances, orthopedic surgeons haven't done elbow replacement, and patients have had no other option. They simply suffer."

A nonfunctional elbow is significantly disabling. Use of the hand is generally affected, as the elbow is unable to stabilize the hand or move it through space. Patients also experience pain. Their injuries are often related to motor vehicle accidents, sports, farming or other manual labor.

"The typical case is a young, healthy and active patient who has had an isolated injury to the elbow, which greatly limits quality of life," Dr. O'Driscoll says. "At Mayo Clinic we are also seeing a number of armed-services personnel who were injured by a rocket-propelled grenade or an improvised explosive device."

Mayo Clinic's innovations in elbow replacement are part of the institution's distinguished history of orthopedics research. Mayo Clinic's shoulder and elbow laboratory is at the forefront of basic research and prosthetics design. "Our new design taps into the profound advances made in the last three decades in understanding the basic anatomy and biomechanics of the elbow," he says.

The researchers have also sought to solve problems with elbow prosthetics' stability and durability. "The new design has a much thicker polyethylene lining and a much broader surface area, so the pressures placed on the joint are distributed much more evenly," Dr. O'Driscoll says.

"The design was accomplished with computer optimization so that at any particular position throughout the entire range of motion — or during angular deflections when the joint is trying to be torqued out of place — the surface area never diminishes to an area small enough to concentrate pressure and wear out the plastic."

Replacing a grenade-shattered elbow

Dr. O'Driscoll keeps on his desk a United States flag insignia given to him by a grateful patient. The insignia was part of the special forces uniform the patient wore in Afghanistan, where a rocket-propelled grenade shattered his right elbow.

"He lost a great deal of blood and nearly died," Dr. O'Driscoll says. Military surgeons were able to stabilize the injury, but despite subsequent surgeries, the patient had almost no use of his right hand and experienced severe pain when he came to Mayo Clinic.

Dr. O'Driscoll performed an elbow replacement that also involved reconstructing the patient's triceps tendon, which was completely missing. "Afterward, for the first time in eight years, he could straighten his elbow," Dr. O'Driscoll says.

The patient subsequently had a recurrence of pain caused by a loosened stem in the prosthesis. "That happens in about 10 percent of cases," Dr. O'Driscoll says. "It's not a very serious problem, but it requires revision surgery. We remove the loose piece, enlarge the opening and put in a new stem. We are careful to explain this possibility to patients before their elbow replacement, and every single patient who has needed the revision surgery has been totally fine with that."

The special forces veteran was able to resume the physical training that is an important part of his life. "I gave him permission to put a lot of stress on that elbow," Dr. O'Driscoll says. "He told me that Mayo Clinic had restored his life and made him whole again."

Teamwork and trust

At Mayo Clinic, innovations such as total elbow replacement are fostered by close working relationships among physician-researchers as well as patients and doctors. "I have repeated opportunities on a daily basis to discuss specific details of joint replacements — questions about stems, porous coats, three-point fixation or mechanisms of failure — with my colleagues in hip surgery, knee surgery and shoulder surgery. We are able to tap into the center's broad expertise," Dr. O'Driscoll says. "Our patients also have a high degree of trust in Mayo Clinic, which is very important for developments like this.

"People with serious injuries to the elbow are often advised, with the best of intentions, that nothing can be done," Dr. O'Driscoll adds. "Had the knee or hip been injured, they would have a routine reconstruction or replacement. Our goal is to make elbow replacement a routine procedure."