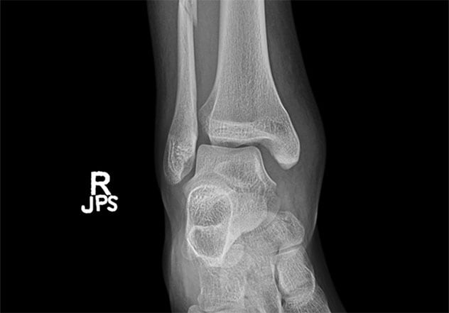
Ankle injuries: Seeking stability and a return to activity Aug. 06, 2021 Ankle injuries are fairly common and often debilitating, preventing individuals from resuming their normal levels of activity. And treatment modalities are evolving. At Mayo Clinic, orthopedic surgeons specializing in trauma take a personalized approach for patients of all ages and activity levels. "We have a very high volume of ankle fractures — up to 250 patients a year — with many seen during the winter when people slip and fall on ice," says Brandon J. Yuan, M.D., an orthopedic surgeon at Mayo Clinic in Rochester, Minnesota, with fellowship training in trauma. One unresolved issue in ankle fracture care is the need for fixation of the posterior malleolus during surgical fixation of ankle fractures, particularly when the fragment is small. Mayo Clinic is launching a clinical trial to evaluate operative versus nonoperative interventions for individuals with posterior malleolar fractures that involve less than 25% of the articular surface. Increasing attention is also being paid to the long-term stability of an individual's ankle after treatment for fracture. "We are focusing more on the role of the deltoid ligament. For some patients, deltoid repair is important to providing ankle stability," Dr. Yuan says. Ankle fracture with syndesmotic injury Enlarge image Close Ankle fracture with syndesmotic injury Ankle fracture with syndesmotic injury The radiograph demonstrates an unstable ankle fracture with a syndesmotic injury. Postoperative follow-up radiograph Enlarge image Close Postoperative follow-up radiograph Postoperative follow-up radiograph Postoperative follow-up radiograph demonstrates successful fracture fixation and syndesmotic repair. Long-term follow-up radiograph Enlarge image Close Long-term follow-up radiograph Long-term follow-up radiograph Long-term follow-up radiograph demonstrates successful fracture fixation and syndesmotic repair. Treatment modalities are also evolving for the syndesmosis. "Our thinking has shifted. We're focusing more on the rotational and translational instability associated with the syndesmosis, and the role that suture fixation or ligament repair can have in restoring normal motion, as opposed to screw fixation," Dr. Yuan says. "Our goal is for patients to get back to what feels like a normal ankle, especially because syndesmotic injuries are common and occur in people who are younger and of working age." As a major orthopedic surgery center, Mayo Clinic has physical therapists with extensive experience with ankle rehabilitation. "A multidisciplinary approach is key to helping patients regain function," Dr. Yuan says. "Our care starts with orthopedic traumatologists but continues through all aspects of the patient's medical care and recovery." For more informationClinical trials: A Study to Evaluate Operative versus Non-operative Intervention of Posterior Malleolar Fractures Involving Less than 25% of the Articular Surface. Mayo Clinic. Receive Mayo Clinic news in your inbox. Sign up MAC-20517737 Medical Professionals Ankle injuries: Seeking stability and a return to activity