Mayo Clinic in Florida opens clinic, innovates in limb deformity and reconstruction

June 08, 2024

In June 2024, Mayo Clinic in Florida launched a multidisciplinary limb deformity and reconstruction practice. The new practice includes a clinic designed to address both post-traumatic and congenital deformities, as well as limb salvage. Treated deformities include nonunion, malunion, leg length discrepancies or developmental abnormalities in lower extremity alignment. Limb salvage includes reconstruction of missing or diseased bone through multiple advanced techniques. Though this field is not new, it is highly specialized, especially with recent advancements in bone transport, limb lengthening and deformity correction.

Congenital and developed limb deformities

Limb deformities the new clinic treats may be congenital or evolve over time due to factors such as:

  • Acute trauma.
  • Post-traumatic deformity resulting in abnormal healing leading to nonunion or malunion.
  • Metabolic or endocrine abnormalities.
  • Malnutrition.
  • Acute or chronic infection.
  • Limb length discrepancy.
  • Obesity, which may impose abnormal mechanics on the body.

The following are the most common post-traumatic lower limb deformities, according to Elizabeth P. Wellings, M.D., M.S., an orthopedic surgeon at Mayo Clinic in Florida and a mechanical engineer:

  • Tibial nonunion or malunion. This condition often requires complex surgery, especially if infection is present.
  • Femoral nonunion or malunion. Though also trauma-induced, these femoral injuries are more forgiving compared with tibial injuries.

Addressing complex limb deformities

Dr. Wellings first became interested in limb deformity surgery as a second-year orthopedic surgery resident at Mayo Clinic in Minnesota. In this surgery, she operated with one of her mentors, Andy A. Sems, M.D., also an orthopedic surgeon.

"Limb deformity is some of the most mathematically complex orthopedic surgery — it's very mechanical," says Dr. Wellings.

The limb deformity clinic she now leads undertakes challenging deformities with complex surgery. The new clinic anticipates demand for deformities such as:

  • Post-traumatic malunion. Distinct from nonunion, where a joint does not heal, malunion indicates nonanatomic healing with abnormal mechanical alignment. Malunion may lead to cosmetic and functional challenges for the patient. Surgery for this condition often requires a bony cut with internal or external fixation, such as a circular external fixator that slowly corrects the deformity over time.
  • Significant bone loss. Individuals with substantial bone loss typically present with ballistic or open fractures. Patients also can develop bone loss secondary to avascular necrosis or infection. This requires the surgeon to perform an excision of the affected bone and then "grow" new bone via a technique known as distraction osteogenesis. Distraction osteogenesis involves a bone cut followed by gradual bony segment transport. This procedure prompts new bone to fill in the gap, creating new, healthy bone to replace the significant bone loss.
  • Amputation followed by a prosthetic. In some cases, Mayo Clinic orthopedic surgeons, in a shared decision-making discussion with the patient, decide the best option for a limb deformity is amputation. Most often, the postamputation goal is to resume functional mobility, requiring a prosthetic limb. In some cases, a standard prosthetic may not fit appropriately, such as a short above-knee amputation. In these cases, patients may benefit from osseointegration. With this technique, the surgeon attaches a prosthesis to bone via a bony implant, allowing for improved prosthetic use.

    The military has performed osseointegration for years, says Dr. Wellings. Yet the first osseointegration for a civilian patient occurred in May 2021 at Mayo Clinic in Florida, where orthopedists performed this technique on a patient who lost a leg to cancer.

The limb deformity clinic also performs bilateral leg lengthening, a cosmetic aspect of limb deformity treatment. For limb lengthening, orthopedic surgeons use a distraction osteogenesis process similar to that used for significant bone loss.

Facilitating limb deformity treatment for the patient

A paramount goal for Dr. Wellings and the deformity clinic is to streamline the perioperative period for patients undergoing limb deformity surgery. This surgery often requires lengthy operations and close follow-up. For lengthening bone, patients often play a significant role in their postoperative treatment, including tasks such as manually turning lengthening struts or actuating an external magnet to motorize an internal implant multiple times daily.

"Limb deformity is some of the most mathematically complex orthopedic surgery — it's very mechanical."

— Elizabeth P. Wellings, M.D., M.S.
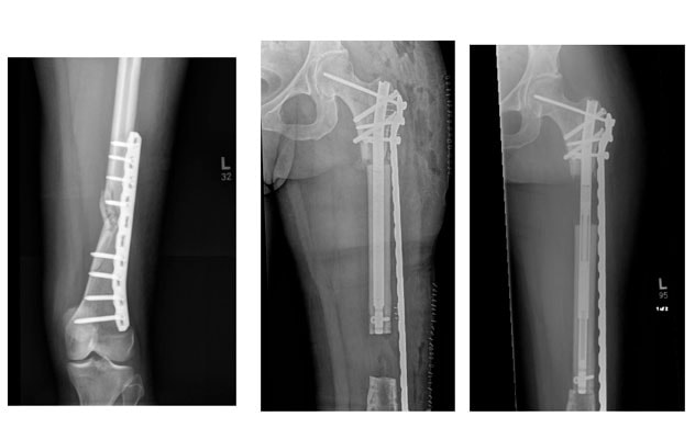
Deformity correction, lengthening Deformity correction, lengthening

Femur with intramedullary nail: bone deformity correction and lengthening.

Automated external circular frame and intramedullary cables Automated external circular frame and intramedullary cables

Tibia with automated external circular frame and intramedullary cables: bone transport.

Internal bone transport Internal bone transport

Femur with intramedullary nail and plate: internal bone transport.

Advances in limb lengthening and deformity correction have led to automatic motorized devices, decreasing tasks patients must complete postoperatively. Dr. Wellings is researching the utilization and success of these new devices.

"Though patients may not initially favor a large external frame as it's cumbersome, with this device the patient has no limitations postoperatively and can walk on the limb," she says. "Functionally, this is an improvement over all-internal bone transport where the patient cannot put full weight on the limb for many months."

With the advancements in automated bone transport devices, Dr. Wellings is investigating how to decrease the time patients spend in external fixators after bone transport. Previously, patients would remain in external fixator devices until the bone had completely healed. However, with new advancements, the orthopedic surgeon can remove frames and place internal devices, allowing patients to return to a more normal life sooner.

Dr. Wellings says during her fellowship at Grady Memorial Hospital, the trauma teaching hospital for Emory University School of Medicine, she has learned advanced limb deformity and reconstruction techniques at orthopedic surgery's leading edge. She is excited to continue her research at Mayo Clinic in Florida, especially in bone transport.

"At this point, we are just scratching the surface of bone transport," says Dr. Wellings.

Mayo Clinic limb deformity referral insights

Dr. Wellings encourages physicians to look at Mayo Clinic in Florida's limb deformity and reconstruction clinic as they consider patient referral. Typically, limb deformity and reconstruction surgery is not offered in the community but rather at academic medical centers like Mayo Clinic. Mayo Clinic also offers the multidisciplinary care Dr. Wellings believes is key to effective limb deformity services, including orthopedic surgery, plastic surgery, infectious disease, physical therapy and social work.

A vital aspect of Mayo Clinic in Florida's multidisciplinary limb deformity care involves a model for which Mayo Clinic Oncology has set a precedent: a user-friendly clinic where the patient stays in one room and all specialists involved conduct patient appointments in that location, then discuss their findings with one another.

Beyond an efficient location for patients seeing multiple specialists, Mayo Clinic in Florida's limb deformity clinic also offers timely, accessible services. It also provides opportune correction of limb deformity work initially temporized at other medical centers.

For more information

Refer a patient to Mayo Clinic.