新闻

  1. April 11, 2026

    Precision diagnosis of MOG antibody-associated disease is critical for timely, targeted therapy

    Mayo Clinic offers the first coordinated, multidisciplinary clinic in the world that is devoted specifically to MOGAD, a rare antibody-mediated inflammatory demyelinating disorder.

  2. April 11, 2026

    Early intervention can halt progression of keratoconus

    Growing global awareness, increasing research, improved diagnostic capabilities, and expanding treatments have made keratoconus detection possible at earlier stages, leading to therapies that can meaningfully reduce or [...]

  3. April 11, 2026

    Graduating residents: Building on a solid foundation

    The Ophthalmology Residency at Mayo Clinic provides a strong clinical, surgical and academic foundation, preparing graduates for comprehensive practice or subspecialty training.

  4. Dec. 13, 2025

    Dual focus, one goal: Neuro-ophthalmology provides comprehensive evaluation for an accurate diagnosis

    Mayo Clinic offers specialized care in neuro-ophthalmology, which includes treating a broad spectrum of diseases such as defects of the neuromuscular junction, cranial neuropathies or inflammation of the optic nerves.

  5. Dec. 13, 2025

    Facial reanimation clinic: Complex conditions require team approach

    The facial reanimation clinic at Mayo Clinic in Rochester, Minnesota, brings a multidisciplinary team together to collaboratively assess and treat patients of all ages with a wide range of facial nerve disorders.

  6. Dec. 13, 2025

    Novel surgical approach for retinal gene therapy shows promise

    A recent Mayo Clinic study explores a novel approach to retinal gene therapy using fibrin hydrogels encapsulating adeno-associated virus 2-green fluorescent protein.

  7. Aug. 21, 2025

    Addressing challenging uveitis cases through collaboration and tailored therapies

    Recognizing that uveitis often reflects underlying systemic autoimmune or inflammatory disease, Mayo Clinic takes a multidisciplinary approach that brings together ophthalmologists, rheumatologists, immunologists and ot[...]

  8. Aug. 21, 2025

    Case study: Novel surgical technique for correcting excyclotropia

    A new surgical approach for correcting excyclotropia has shown promising results, according to a retrospective case series conducted by Mayo Clinic researchers.

  9. April 02, 2025

    Advancing patient care through glaucoma research

    Glaucoma is the leading cause of irreversible blindness with 80 million patients affected worldwide. Mayo Clinic researchers are focused on developing improved treatment for reducing intraocular pressure, while also ide[...]

  10. April 02, 2025

    Research and new technology aid in improving IOL prediction accuracy, patient outcomes

    There is a constant call for improvement in IOL power calculation accuracy. To achieve this in an increased number of patients – while also improving accuracy in patients with less common eye measurements – researchers [...]

  11. April 02, 2025

    Residents highlight camaraderie, robust educational foundation

    Mayo Clinic's Ophthalmology Residency draws trainees from diverse backgrounds, family status, and professional and personal interests. Learn more about some Mayo Clinic residents' experiences so far.

  12. Jan. 17, 2025

    Catch up on our top 10 podcasts of 2024

    Discover the top 10 most-popular 2024 Mayo Clinic Ophthalmology Podcasts, hosted by Erick D. Bothun, M.D., and Andrea A. Tooley, M.D.

  13. Nov. 23, 2024

    First FDA-approved retinal gene therapy available at Mayo Clinic

    The first prescription retinal gene therapy product is now available at Mayo Clinic. For eligible patients, voretigene neparvovec-rzyl is a one-time gene therapy that has the potential to restore the visual cycle and to[...]

  14. Nov. 23, 2024

    Pediatric myopia clinic prioritizes early intervention and research

    Early intervention and detection in children with myopia is the key to reducing the long-term impact on patients' ocular health. Mayo Clinic's pediatric myopia clinic offers coordinated care within a multidisciplinary t[...]

  15. Nov. 23, 2024

    Valuable addition to the team brings shared dedication to patients, passion for research and education

    Greg J. Griepentrog, M.D., has joined Ophthalmology at Mayo Clinic in Rochester, Minnesota, bringing his own unique experience and knowledge.

  16. Oct. 30, 2024

    Global track for residents: International education, bidirectional impact

    Mayo Clinic introduced a new global ophthalmology and health equities track that thoughtfully prepares residents for local and international experiences.

  17. Oct. 25, 2024

    Intense pulsed light for treatment of dry eye disease

    A retrospective study confirms that intense pulsed light (IPL) and meibomian gland expression (MGX) treatment can improve dry eye symptoms and offers a reasonable option for patients who have not shown improvement with [...]

  18. Oct. 25, 2024

    SCOPE research tracks increased use, performance of scleral lenses

    The Scleral Lenses in Current Ophthalmic Practice: An Evaluation (SCOPE) study group works to provide a better understanding of the role and performance of scleral lenses in clinical practice.

  19. Oct. 25, 2024

    Macular hole repair does not require face-down positioning

    Older patients benefit from macular hole surgery without face-down positioning - Surgery with broad ILM peeling, 20 percent sulfur hexafluoride gas and no face-down positioning may be effective in the treatment of idiop[...]

  20. Aug. 28, 2024

    Transforming healthcare and research with AI-driven tools

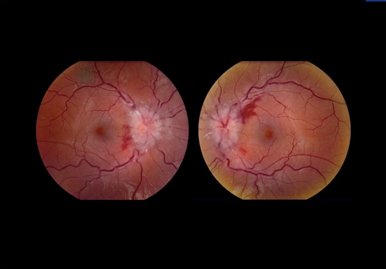
    Through its patient care and research initiatives, Mayo Clinic has been busy building one of the largest repositories of clinical data in the world. One of the AI-driven tools developed within Mayo Clinic Ophthalmology [...]

  21. Aug. 14, 2024

    3D-printed models aid complex orbital reconstruction

    When conditions such as cancer, trauma or complications from previous surgery affect the eyes, as well as surrounding facial structures, patients can benefit from a multidisciplinary approach. The Mayo Clinic Oculofacia[...]

  22. Aug. 14, 2024

    Ophthalmic Pathology at Mayo Clinic

    Mayo Clinic has had a longtime tradition of expertise and excellence in the field of ophthalmic pathology. Currently, Ophthalmic Pathology includes four subspecialized pathologists who review more than 800 cases every y[...]

  23. March 16, 2024

    Expanding pediatric cornea, cataract and glaucoma care

    Dr. Kim will help care for children with complex anterior segment disorders, specifically in the areas of pediatric cornea, cataract and glaucoma.

  24. March 16, 2024

    Individualizing patient care through research, expertise

    Ruti Sella Svetlit, M.D., brings her expertise in anterior segment ocular surgery and refractive surgery to help treat patients with cataract and refractive error at Mayo Clinic in Rochester, Minnesota.

  25. Jan. 16, 2024

    Collaborative surgical innovation can reduce complications and hospital stay

    Meningiomas account for 15% to 20% of primary brain tumors. Mayo Clinic ophthalmologists collaborating across the clinical practice has allowed a new treatment option to emerge for anterior skull base meningioma resecti[...]

  26. Oct. 14, 2023

    Diagnosis, clinical trials and treatments for inherited retinal diseases

    For people with inherited retinal diseases, timely diagnosis, counseling and resource discussions are imperative to improve quality of life. Depending on the condition, treatment may be available, often through clinical[...]

  27. Oct. 14, 2023

    Textbook review: Evolutionary analysis of pediatric eye movement disorders

    A scientific textbook by Michael C. Brodsky, M.D., an ophthalmologist at Mayo Clinic in Rochester, Minnesota, provides a comprehensive neurologic explanation for the unique eye movement disorders that afflict children w[...]

  28. Oct. 14, 2023

    Improving functionality and appearance with custom-made iris implants

    Managing iris defects can be challenging, whether they are congenital or acquired through traumatic events. When necessary, an iris implant can mimic a natural iris and help improve visual symptoms that have been affect[...]

  29. Oct. 14, 2023

    Dry eye clinic offers new testing and treatments

    Mayo Clinic's new dry eye clinic offers new imaging and treatment options, along with comprehensive, multidisciplinary care.

  30. Aug. 12, 2023

    By the numbers: Mayo Clinic Ophthalmology Podcast

    The Mayo Clinic Ophthalmology Podcast series covers the latest and greatest discoveries in ophthalmology through the lens of an academic institution, Mayo Clinic.

  31. Aug. 04, 2023

    Potential one-time gene therapy treatment for wet age-related macular degeneration

    Dr. Sophie J. Bakri, an ophthalmologist at Mayo Clinic in Rochester, Minnesota, performed the first subretinal gene therapy as part of a clinical study of RGX-314 as a potential one-time gene therapy for wet AMD.

  32. April 27, 2023

    Fine-tuning cataract surgery: light adjustable lens

    Light Adjustable Lens is an innovative technology that allows physicians to design, trial and customize a patient's vision after cataract surgery.

  33. April 27, 2023

    Pediatric retina surgery program ensures patient-centered care

    Dr. Brittni A. Scruggs, an ophthalmologist at Mayo Clinic in Rochester, Minnesota, leads the effort to use the latest technology and research to provide comprehensive pediatric retina care.

  34. April 27, 2023

    Thyroid Eye Disease Clinic offers customized, collaborative approach to treatment

    Mayo Clinic's Thyroid Eye Disease Clinic offers a collaborative approach that helps streamline diagnostic processes and treatment recommendations.

  35. Oct. 01, 2022

    Mayo Clinic Ophthalmology Podcast

    Hosted by Erick D. Bothun, M.D., and Andrea A. Tooley, M.D., the Mayo Clinic Ophthalmology Podcast features guests from around the world to discuss ophthalmology and various subsets of medicine.

  36. Oct. 01, 2022

    New study assesses the risk of stroke before and after central retinal artery occlusion

    Mayo Clinic researchers analyzed population-based data to study the correlation between central retinal artery occlusion and incidence of ischemic stroke to evaluate the associated risk.

  37. Oct. 01, 2022

    Welcoming new ophthalmologist to Mayo Clinic

    Board-certified ophthalmologist Ashlie A. Bernhisel, M.D., has joined Ophthalmology at Mayo Clinic in Rochester, Minnesota.

  38. July 27, 2022

    Reexamining the relationship among metabolic syndrome, CCT and ocular hypertension

    Mayo Clinic study shows that metabolic syndrome is associated with ocular hypertension. The results also suggest that this association may be related to increased central corneal thickness.

  39. July 27, 2022

    Drusen phenotypes associated with advanced age-related macular degeneration

    Reticular pseudodrusen, basal laminar drusen and calcified drusen all showed a strong association with more-advanced stages of age-related macular degeneration, according to a Mayo Clinic study. The study also showed a [...]

  40. July 27, 2022

    Children diagnosed with type 2 diabetes, increased risk of developing vision-threatening retinopathy

    A retrospective study shows that children diagnosed with type 2 diabetes developed retinopathy after a shorter diabetes duration and at a higher rate than children with type 1 diabetes.

  41. March 12, 2022

    Optic effect on peripheral retinal illumination holds implications for negative dysphotopsia

    Mayo Clinic researchers used ray-tracing analysis to compare the influence of 6.0 mm and 7.0 mm intraocular lens optic diameters on illumination of the peripheral retina.

  42. March 12, 2022

    Many ophthalmic irAEs can be treated without discontinuation of life-prolonging immunotherapy

    Ophthalmic immune-related adverse events (irAEs) associated with using immune checkpoint inhibitors (ICIs) are rare, but ophthalmologists need to recognize irAEs and un[...]

  43. March 12, 2022

    Mobile platform obtains quantitative measurements of exophthalmos with variability similar to Hertel exophthalmometry

    A simple-to-use mobile application yields reliable, accurate measurements in a timely, efficient manner — and may be a suitable alternative when Hertel exophthalmometry is not available for measurement of globe po[...]

  44. Jan. 07, 2022

    Data and communication support individualized pediatric retinoblastoma program

    Evidence-based practices and communication with families are key to pediatric retinoblastoma care. Mayo Clinic physicians work collaboratively with one another, the patient's family and global data to advance retinoblas[...]

  45. Oct. 01, 2021

    Netarsudil significantly reduces intraocular pressure in patients with primary open-angle glaucoma

    Mayo Clinic researchers have identified the mechanism of action for intraocular pressure (IOP) reduction by netarsudil in patients with primary open-angle glaucoma or ocular hypertension.

  46. Oct. 01, 2021

    Patients may receive cataract surgery if diabetic macular edema is managed pre- and post-surgery

    A retrospective study indicates that patients with active diabetic macular edema and visually significant cataract can consider cataract surgery while maintaining an effective perioperative intravitreal anti-vascular en[...]

  47. Oct. 01, 2021

    IPL-MGX improves dry eye symptoms more than MGX alone in treating ocular rosacea with dry eye

    Mayo Clinic offers intense pulsed light combined with meibomian gland expression to treat ocular rosacea and meibomian gland disease with dry eye symptoms successfully.

  48. July 20, 2021

    Study supports the use of plaque imaging in the evaluation of patients with acute retinal artery occlusion

    Researchers found that patients with retinal artery occlusion (RAO) had higher prevalence of intraplaque hemorrhage (IPH). The presence of IPH was independently associated with ipsilateral RAO.

  49. July 20, 2021

    Disease expression and familial transmission in Fuchs' endothelial dystrophy

    The Fuchs' endothelial corneal dystrophy (FECD) phenotype commonly occurs in individuals who do not harbor CTG18.1 expansion but are part of families with CTG18.1 expansion.

  50. July 20, 2021

    Genomic sequencing shows promise in elucidating genetic causes of strabismus

    Next-generation genome sequencing approaches hold great promise in identifying rare variants associated with strabismus and elucidating the genetic causes of the disorder.

  51. April 20, 2021

    Standardized prescribing guidelines reduce frequency and quantity of opioids prescribed

    Development of standardized opioid prescribing guidelines and discussion of postsurgical pain management reduced the overprescribing of opioids without increasing refill rates.

  52. April 20, 2021

    Fibrin hydrogels provide safe, degradable scaffolds for subretinal implantation

    Researchers report that an animal study demonstrates complete degradation of a surgically implanted fibrin scaffold within the subretinal space.

  53. April 20, 2021

    Studies support Scheimpflug tomography's efficacy in predicting the prognosis of FECD

    Studies confirm that the presence of even one or two map features increased the probability of Fuchs' endothelial corneal dystrophy (FECD) progression independent of central corneal thickness.

  54. March 20, 2021

    Retinoblastoma: Specialized neuroradiology for optimal care

    Mayo Clinic's experienced specialists work to preserve the child's life, eye and sight.

  55. March 11, 2021

    Regenerative approaches to improving corneal transplantation

    Mayo Clinic offers two partial-thickness corneal transplants for patients with diseased endothelial cells. Advancements in transplantation surgery make it possible to improve eyesight without removing the full thickness[...]

  56. May 01, 2020

    Intravitreal anti-VEGF pharmacotherapy safe for treatment of diabetic macular edema

    Study offers further evidence of a relatively safe systemic risk profile for intravitreal anti-VEGF pharmacotherapy used for the treatment of patients with decreased vision secondary to center-involving DME.

  57. Sept. 14, 2019

    Study finds most conjunctival tumors benign with low risk of malignant transformation

    While most conjunctival tumors are benign with low risk of malignant transformation, researchers recommend subspecialty referrals in the setting of changing appearance or worrisome features.

  58. Sept. 14, 2019

    Study supports increased risk of ischemic stroke in the peri-CRAO period

    Research supports that there is an increased risk of stroke around the time of central retinal artery occlusion (CRAO), especially if an embolic etiology of CRAO is diagnosed.

  59. Sept. 14, 2019

    Use of intraocular lenses relatively safe for treatment of cataracts in infants ages 7 to 24 months old

    The Toddler Aphakia and Pseudophakia Study (TAPS) evaluated concerns about adverse events, re-operations and refractive changes in infants who receive intraocular lens implantation for cataract.

  60. July 16, 2019

    Study identifies clinical phenotype, visual outcomes of MOG-IgG antibody optic neuritis

    Research supports that MOG-IgG positivity should be suspected if optic disk edema is moderate to severe at onset or if MRI shows optic nerve sheath involvement.

  61. July 16, 2019

    Biopsy recommended for patients with clinical characteristics of IgG4-ROD

    Researchers recommend biopsy for patients who do not follow the usual clinical course of Graves' orbitopathy or have clinical characteristics of immunoglobulin G4-related ophthalmic disease (IgG4-ROD).

  62. July 16, 2019

    PedEyeQ assesses quality of life in children with eye conditions

    PedEyeQ comprehensive questionnaires can be used to assess two broad areas, eye-related quality of life and functional vision, in children of any age with any eye condition.

  63. April 13, 2019

    Optimal timing for intervention in congenital nasolacrimal duct obstruction

    A study of infants with congenital nasolacrimal duct obstruction (CNLDO) suggests that surgical intervention may be most appropriate in an early and narrow time frame: between ages 9 and 15 months.

  64. April 13, 2019

    New method classifies FECD severity: Tomographic evaluation of corneas for subclinical edema

    A new method of classifying Fuchs' endothelial corneal dystrophy (FECD) severity employs Scheimpflug tomography for preoperative assessment of corneas for the presence of subclinical edema.

  65. April 13, 2019

    Risk of primary open-angle glaucoma increases after vitreoretinal surgery

    Research supports an increased risk of late-onset, primary open-angle glaucoma (POAG) after vitrectomy and vitrectomy with scleral buckling, but not after scleral buckling alone. Researchers recommend more-frequent moni[...]

  66. Feb. 01, 2019

    Patients with central retinal artery occlusion require embolic work-ups

    Research published in Mayo Clinic Proceedings indicates symptomatic stroke, TIA or amaurosis fugax is common around the time of central retinal artery occlusion. Researchers recommend urgent embolic work-ups for those p[...]

  67. Sept. 21, 2018

    Ocular manifestations in post-transplant lymphoproliferative disorder: A case report

    Mayo subspecialists collaborated for successful treatment of an 8-year-old boy. After orthotopic heart transplantation, the boy exhibited bilateral ocular involvement in post-transplant lymphoproliferative disorder with[...]

  68. Sept. 21, 2018

    Surgical treatment impacts health-related quality of life for patients with glaucoma

    Patients with glaucoma report poor health-related quality of life due to worse diplopia, lower mean deviation on visual field testing in either eye, decreased visual acuity in either eye, younger age, and previous glauc[...]

  69. Aug. 21, 2018

    Optic disk edema in GFAP meningoencephalitis may mimic papilledema

    Mayo specialists recommend testing cerebrospinal fluid glial fibrillary acidic protein (GFAP) autoantibodies in patients with unexplained meningoencephalitis. Their optic disk edema is more likely due to an inflammatory[...]

  70. Aug. 18, 2018

    Fibrin hydrogels provide a scaffold for transplantation of RPE monolayers

    Research suggests that fibrin hydrogels may provide a long-lived scaffold for the differentiation of retinal pigment epithelium (RPE) from stem cells that can then be degraded under controlled circumstances after delive[...]

  71. Aug. 17, 2018

    Incidence of pseudophakic intraocular lens exchange increases with incidence of cataract surgery

    Emerging indications of intraocular lens exchange, including unplanned refractive error and uveitis-glaucoma-hyphema syndrome from square-edged haptics in the ciliary sulcus, reflect changes in lens design and increasin[...]

  72. April 13, 2018

    Psychological factors may impact quality of life after strabismus surgery

    Depressive symptoms, double vision and facial anomalies may impact patient-reported outcome measures after strabismus surgery. Research confirms the need to consider and address psychological factors and personality par[...]

  73. April 13, 2018

    Research confirms the clinical characteristics of ocular sarcoidosis

    In a population-based study of the clinical characteristics of ocular involvement of sarcoidosis, eye symptoms were the first presentation that led to the diagnosis of systemic sarcoidosis in more than half of the patie[...]

  74. Oct. 13, 2017

    Incidence of idiopathic intracranial hypertension parallels rising rate of obesity

    Obesity is a major risk factor for idiopathic intracranial hypertension (IIH). Research indicates that the incidence rates of obesity and IIH have increased steadily and in parallel since 1990.

  75. Oct. 13, 2017

    Risk of serious complications increases for older adult patients treated with dacryocystorhinostomy for acquired nasolacrimal duct obstruction

    Research indicates that in patients age 80 and older, the rate of symptom resolution after dacryocystorhinostomy was significantly lower and the risk of serious complications was higher than that of younger patients.

  76. April 15, 2017

    The causes of acquired 3rd nerve palsy

    A study using Rochester Epidemiology Project (REP) records demonstrates a higher incidence of microvascular and a lower incidence of aneurysmal third nerve palsies than previously reported in nonpopulation-based studies[...]

  77. Nov. 01, 2016

    Eye in the Storm

    A clinician and investigators with Ophthalmology at Mayo Clinic in Rochester, Minnesota, team to learn how toxic RNA short-circuits corneal cells.

  78. May 01, 2014

    Incidence and probability of progression to blindness due to open-angle glaucoma decreases dramatically

    New diagnostic and progression analysis tools and new therapies for intraocular pressure reduction have benefited individual patients. A Rochester Epidemiology Project-based study explores their effects on the rates of [...]

  79. Sept. 05, 2013

    Cancer immunotherapy eradicates tumors from within

    Cancer immunotherapy cures tumor-burdened mice - Researchers used human DNA from melanoma cells delivered through the vector vesicular stomatitis virus to eradicate cancerous tumors in mice. Success is associated with t[...]