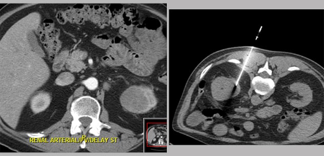
CT-guided percutaneous core needle biopsy of a concerning urothelial lesion.
Mayo Clinic does not endorse companies or products. Advertising revenue supports our not-for-profit mission.
Check out these best-sellers and special offers on books and newsletters from Mayo Clinic Press.
Your donation powers the future of medicine and helps save lives.