During the summer, warm weather often means more time outside. But along with the fresh air might come some unwanted outdoor encounters. Heat and sun, as well as some types of plants and bugs, can take a toll on your skin. Learn about common summer skin irritants and find out how to soothe them.
Poison ivy
Poison ivy grows as a low shrub or on vines. Each leaf on a poison ivy plant has three smaller leaflets. Touching any part of the plant can cause red, swollen skin, blisters and severe itching. This skin reaction sometimes happens within just a few hours of coming into contact with poison ivy.
A poison ivy rash usually goes away within 1 to 2 weeks. While it's healing, soothe the irritated skin with a cream that eases itching, such as calamine lotion. Many of these creams are available without a prescription. Taking a bath with oatmeal or putting a cool, wet cloth on the skin also may help. Talk to your health care professional if you have a severe poison ivy rash or if the rash is on your face or genitals.
Poison oak and poison sumac cause a similar rash that can be treated in the same way as poison ivy.

Wild parsnip
Wild parsnip grows in sunny areas, often along roads and in prairies. The plant has large bunches of yellow flowers on a thick stem. Touching sap from the wild parsnip plant and then being in sunlight can cause a skin reaction that looks like a burn. Within a day, the skin turns red and might develop painful blisters. You might not notice a mild wild parsnip skin reaction. But a severe reaction can cause skin to change color and stay that way for months or years.
Soothe the skin with a cool, wet cloth or moisturizing lotion. Talk to your health care professional if the blisters are severe or last longer than two weeks.

Heat rash
Heat rash also is called prickly heat, sweat rash or miliaria. It happens when blocked sweat ducts trap sweat under the skin. One type of heat rash, called miliaria rubra (A), has red clusters of small bumps that look like blisters. They can be itchy. Another type, called miliaria crystallina (B), has clear, fluid-filled bumps.
Heat rash isn't serious. It usually goes away quickly when the skin cools. Until the rash fades, decrease sweating by staying in an air-conditioned space or using a fan to circulate the air. Wear lightweight clothing and avoid intense physical activity. Put a cool, wet cloth on the skin or soak in a cool bath for more relief.

Polymorphous light eruption
Polymorphous light eruption is a rash that happens due to sensitivity to sunlight. This condition is called photosensitivity. It most often happens during spring, early summer or on a sunny vacation during the winter. Within hours of being in the sun, people with this condition might see an itchy, red rash. The spots appear most often on the upper chest, neck and on the back of the arms.
The rash usually goes away on its own within a few days. Until the rash is gone, limit your time in the sun. When you are outdoors, wear clothing that shields your skin from the sun and put sunscreen on skin that isn't covered. Creams you can buy without a prescription that ease itching, such as hydrocortisone cream, might help with the discomfort. Talk to your health care professional if the reaction is severe or painful.

Tinea versicolor
Tinea versicolor is a common infection caused by a fungus. It happens most often in warm, humid weather. Tinea versicolor results in patches of skin that change color. They may be white, brown, red or gray-black. The patches often are more noticeable after being in the sun. They can be mildly itchy. In adults and teens, the patches usually form on the back, chest or arms. In younger children, they usually appear on the face.
If you think you may have tinea versicolor, see a health care professional to confirm the diagnosis. Treatments include creams, lotions or shampoos designed to fight fungal infections. Many are available without a prescription. The skin color might stay uneven for months. And the infection can return, especially in warm, humid weather.

Swimmer's itch
Swimmer's itch is an itchy rash. It's caused by bugs, called parasites, that live on freshwater snails, ducks and other birds. On warm, sunny days in calm freshwater lakes or ponds, these parasites enter the water. The parasites can then burrow into the skin of swimmers, especially on uncovered legs in shallow water. The parasites soon die. They leave behind itchy, red, raised spots on the skin.
Swimmer's itch is usually mild. It often goes away on its own within a week. The itching can be eased with a cream, such as hydrocortisone cream, that you can buy without a prescription. If the itching is severe, scratching may scrape the skin and that could lead to a skin infection. Talk to your health care professional if the itching is severe and hard to control with anti-itch cream.

Chigger bites
Chiggers are a type of tiny bug called a mite. They are found in tall grass and weeds, and they're very hard to see. If you brush against a plant that has chiggers on it, they can catch onto your clothing and then attach themselves to your skin. They drop off the skin after a few days, leaving behind clusters of itchy, pink bumps. When scratched, chigger bites can become red and crusty.
Chigger bites usually heal within 1 to 2 weeks. If you notice chigger bites on your skin, scrub the area well with soap and water to remove any chiggers that still might be there. Ease itching with calamine lotion or an anti-itch cream you can buy without a prescription, such as hydrocortisone cream. Putting plastic wrap over the skin treated with hydrocortisone cream might help soothe itching.

Ragweed
Ragweed plants bloom in the United States in late summer, usually beginning in August, and into the fall. Ragweed pollen is one of the main causes of hay fever. Hay fever also is called allergic rhinitis.
For people who are allergic to ragweed, coming in contact with the plant pollen through touch or through the air also can cause a rash. This condition is called allergic contact dermatitis. The rash often includes itchy red streaks on the skin and swelling of the eyelids. A ragweed rash usually appears within two days of coming in contact with the plant. It typically goes away within three weeks, as long as there's no more contact with ragweed.
To soothe the rash, use a cream that eases itching that you can buy without a prescription, such as hydrocortisone cream. An antihistamine medicine that you buy without a prescription also can be helpful. Talk to your health care professional if the rash is painful or if it lasts longer than three weeks.

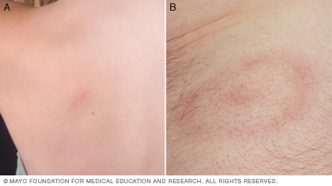
Lyme disease
Lyme disease is an illness caused by tick bites. Symptoms include a distinctive rash, flu-like symptoms and aching joints. The rash begins as a small, red bump (A) that appears after a tick bite. Over the next few days, the redness gets bigger. It may feel warm when you touch it. It might look like a bull's-eye (B). Along with the rash, you may have fever, tiredness and a headache.
If you think that a tick bit you and you have symptoms of Lyme disease, contact your health care professional right away. Treatment works best when it's started early. People diagnosed with Lyme disease in its early stages who are treated with antibiotics usually recover quickly, without developing other health problems. If it's not treated, Lyme disease can cause serious health conditions that affect the joints and nervous system. That can happen even if the early symptoms of Lyme disease go away on their own.
