March 27, 2020
Mayo Clinic has developed a unique revision surgery for people who experience a failed first metatarsophalangeal joint replacement. The revision procedure involves removal of the implant and reconstruction of the great toe to restore function and relieve pain.
"Over the last 14 years, our procedure has had a very high success rate," says Joseph L. Whalen, M.D., Ph.D., an orthopedic surgeon at Mayo Clinic in Jacksonville, Florida.
Joint replacement is sometimes offered as a treatment option for metatarsophalangeal arthritis, a condition that severely affects the ability to walk and to wear shoes comfortably. "Toe arthritis can be every bit as disabling as ankle arthritis or knee arthritis," Dr. Whalen says.
Mayo Clinic's approach to toe arthritis usually involves fusion surgery — the gold standard of treatment. However, people who undergo toe fusion can experience pain if they wear shoes with heels higher than an inch. That restriction prompts some people to seek joint replacement, often from a podiatrist, for the treatment of toe arthritis.
"When those joint replacements fail, it's a difficult reconstructive problem," Dr. Whalen says. "We can't just take out the implant because joint replacement surgery removes a lot of bone. The big toe is significantly shortened — it's usually shorter than the second toe by one-third — which leads to transfer metatarsalgia. Often the big toe sticks up and won't touch the floor. It's very painful."
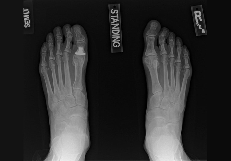
First metatarsophalangeal joint replacement before and after revision surgery
First metatarsophalangeal joint replacement before and after revision surgery
X-rays illustrate the case of a patient who presented at Mayo Clinic in Jacksonville, Florida, with severe stiffness and pain after a first metatarsophalangeal joint replacement. On the left, a preoperative X-ray shows a 1.4-centimeter shortening of the great toe of the left foot, where joint replacement had been performed. On the right, an X-ray three months after revision surgery at Mayo Clinic shows the healed bone graft and restored toe length. The patient is now pain-free.
Mayo Clinic's salvage surgery uses an interpositional graft that has been contoured from a patella wedge. "The density of that bone allows us to fill the bone defect after we remove the implant from the big toe. We can generally lengthen the toe by 10 to 12 millimeters, which is enough to relieve the transfer metatarsalgia," Dr. Whalen says.
The precise amount of toe lengthening depends on factors such as soft tissue scarring and the patient's circulatory health. The structural bone graft fully incorporates by about eight to 16 weeks after surgery. Successful healing occurs in approximately 90% of patients who comply with postoperative restrictions.
Dr. Whalen notes that revision surgery can be avoided if patients with metatarsophalangeal arthritis opt for fusion surgery, which generally provides positive outcomes.
"There are many misconceptions about fusing the big toe," he says. "People think they're going to limp or walk abnormally after the surgery, so they avoid it. But fusion provides highly predictable pain relief. Patients who have the procedure are generally very happy with the results."