June 24, 2022
Distinguishing autoimmune dementias from irreversible neurodegeneration is challenging: Up to a third of people with autoimmune etiologies initially receive a diagnosis of a neurodegenerative condition. Yet appropriate treatment of autoimmune dementias can improve cognitive function, especially learning and memory.
"Given the potential for reversibility, it is important to distinguish the rare autoimmune dementias from the much more common neurodegenerative dementias," says Eoin P. Flanagan, M.B., B.Ch., an autoimmune neurologist at Mayo Clinic in Rochester, Minnesota. "Major advances in antibody biomarker discovery have allowed us to better identify these cognitive disorders."
Although rare, autoimmune dementias are now known to occur in multiple settings beyond the neoplasms with which they have been associated. Diagnosis requires bedside neuropsychological testing when possible as well as MRI, electroencephalography (EEG) and antibody testing. Treatment choice depends on the specific antibodies that are present and the presence or absence of cancer.
"The window of reversibility is only about 6 to 12 months," Dr. Flanagan says. "If correct diagnosis of autoimmune dementia is delayed, the consequences for patients and their families can be devastating."
Comprehensive diagnostic testing
Autoimmune dementias were initially recognized as idiopathic phenomena or cancer-related immune responses. The disorders are now known to occur in other clinical scenarios, including in individuals who have had herpes virus encephalitis, transplant or cancer treatment with immune checkpoint inhibitors.
"The expanding range of settings makes it critical to recognize autoimmunity as a cause of dementia. But the diagnosis should be made carefully," Dr. Flanagan says.
A Mayo Clinic review published in March 2021 in Therapeutic Advances in Neurological Disorders outlined clues for the diagnosis of autoimmune dementia. They include:
- Severe weight loss in the prodromal phase
- Acute to subacute onset of cognitive decline, particularly memory loss
- Rapid onset and progression
- Headache
- Movement disorders, such as myoclonus, tremor or dyskinesia
- Psychosis
"The specific symptoms can vary, depending on the antibodies that are present," Dr. Flanagan says.
At Mayo Clinic, diagnostic evaluation for autoimmune dementia starts with bedside cognitive testing when possible. "Some patients may be too unwell to participate," Dr. Flanagan says.
Tests such as the Mini-Mental State Examination help determine the severity of dementia and monitor the progression over time. Formal neuropsychological testing can better identify abnormalities and provide a baseline for judging response to immunotherapy.
أدلة مسببات نقص المناعة الذاتية
أدلة مسببات نقص المناعة الذاتية
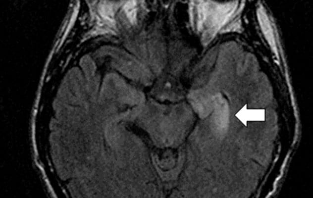
يُظهر التصوير المحوري للدماغ بالرنين المغناطيسي بتقنية استعادة الانعكاس الموهنة لإشارة السوائل لشخص مصاب بالخرف المناعي الذاتي والأجسام المضادة الذاتية LGI1 وجود فرط غير طبيعي في شدة T2 في الفص الصدغي الوسطي الأيسر (السهم)، وهذا يتوافق مع مرض التهاب الدماغ الحوفي.
MRI and EEG are used to exclude other causes of dementia and to help determine the specific type of autoimmune dementia that might be present. Laboratory evaluation of serum and cerebrospinal fluid also are critical. Mayo Clinic Laboratories offers both types of testing for autoimmune dementia.
"Comprehensive antibody testing is usually more informative than testing for selected antibodies because the neurological presentations are so diverse and multifocal," Dr. Flanagan says. "Some of the antibodies associated with autoimmune dementia are highly predictive of an unsuspected, underlying cancer."
Managing autoimmune dementia is similarly complex, requiring treatment of symptoms, the underlying autoimmune disease and associated cancers when present. Acute immunotherapy typically includes steroids, intravenous immunoglobulin and plasma exchange.
Treatment response depends on the type of antibody present. But Mayo Clinic has found that 64% of patients with autoimmune dementia respond to first line therapy. To prevent relapses, Mayo Clinic uses steroid-sparing immunosuppressants.
"We find that patients often can be weaned off immunotherapy after 2 to 5 years," Dr. Flanagan says.
For more information
Banks SA, et al. Autoimmune encephalopathies presenting as dementia of subacute onset and rapid progression. Therapeutic Advances in Neurological Disorders. 2021;14:1756286421998906.
Refer a patient to Mayo Clinic.