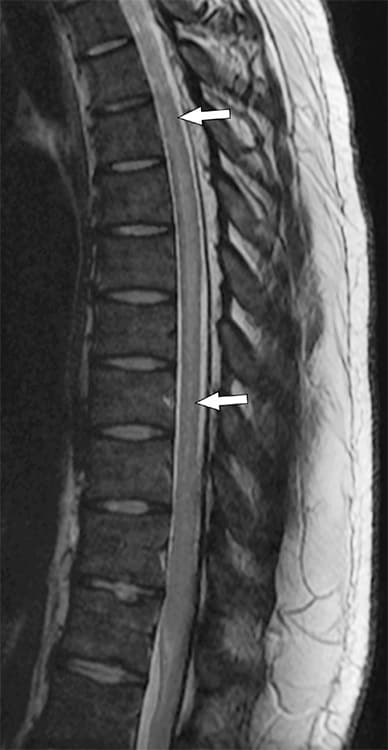
يُبين التصوير بالرنين المغناطيسي السهمي بمرجحة T2 للعمود الفقري الصدري وجود آفة طولية بالحبل الشوكي ذات كثافة مُفرطة بمرجحة T2 (الأسهم).
لا تُقدم Mayo Clinic الدعم للشركات أو المنتجات المُعلَّن عنها هنا. لكن تدعم العائدات الإعلانية رسالتنا غير الربحية.
تحقق من هذه الكتب الأكثر مبيعًا والعروض الخاصة على الكتب والنشرات الإخبارية من Mayo Clinic Press.
تساهم التبرّعات، وهي قابلة للخصم الضريبي، في دعم آخر التطورات في الأبحاث وطرق الرعاية لإحداث نقلة نوعية في الطب.