The gut-lung axis: Intestinal microbiota and inflammatory lung disease

April 03, 2020

Could the microbes in a patient's intestine be a hidden cause of difficult-to-control inflammatory lung disease? Researchers at the Mayo Clinic are working to find out. In this Q and A, Joseph H. Skalski, M.D., Pulmonary and Critical Care Medicine at Mayo Clinic in Rochester, Minnesota, discusses the gut-lung axis, dysbiosis, and research into intestinal bacterial and fungal microbiota in patients with a variety of obstructive disease phenotypes.

Why are pulmonary researchers interested in the intestinal microbiota?

With the advent of new non-culture-based sequencing techniques, the last decade has seen an explosion of interest in the study of the human microbiome. Pulmonology researchers are naturally interested in the microbes that live in the lung. However, the intestinal microbiota may be even more important than the lung microbiota in some pulmonary diseases.

Although it is now known that every surface of the body, from the lungs to the eyeballs, has a microbiome, the vast majority of microbial biodiversity is found in the nutrient-rich environment of the gastrointestinal tract. If the microbiota is thought of as an ecosystem, the nutrient-poor lungs are like a desert, but the nutrient-rich intestines are like a rainforest.

In fact, the intestinal microbiota has a biological complexity that likely exceeds the human body's own complexity: There are more cells and many more unique gene products in the intestinal microbiome than in all of the native cells of the human body put together. These intestinal microbes form an ecosystem of organisms that are coexisting and competing with one another, and all this is happening in the intestinal lumen, which is essentially a 25-foot tube designed to absorb metabolites. The intestinal lumen also contains host immune cells, which are sensing and responding to what is happening inside.

What is the gut-lung axis concept?

The gut-lung axis concept posits that alterations of intestinal microbiota communities may have a profound effect on lung disease. Microbes may be recognized by host immune cells, resulting in systemic cytokine release. Or in some cases, "the bugs make drugs," such that bioactive compounds are secreted by microbes, absorbed into circulation and directly alter lung function.

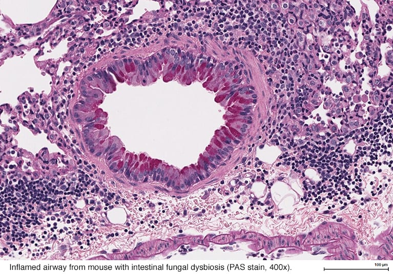
What is the importance of the connection between intestinal fungal dysbiosis and asthma?

Everyone has a unique microbiota composition. When microbial communities have a negative effect on a lung disease, it is called dysbiosis. Dysbiosis is not the same as an intestinal infection because it likely can occur silently for years with no symptoms.

In addition to containing bacteria, the intestines have a community of commensal fungi. Many fungi that are important in asthma when inhaled, such as aspergillus, penicillium or alternaria, have been identified as components of the human intestinal mycobiota. Research published in PLOS Pathogens in 2018 showed that intestinal fungal dysbiosis enhances the severity of asthma in animal models. Expansion of selected dysbiosis-associated fungi in the intestines enhances the severity of asthma with no detectable fungus at all in the lungs, suggesting gut-lung axis cross-talk between intestines and lungs. The effect is not universal across all species of fungi; some make the asthmatic inflammation worse but others seem to have no effect or may even be protective. The overuse of broad-spectrum antibiotics appears to disrupt bacterial communities and may be a key risk factor for developing fungal dysbiosis.

No one yet knows to what extent these observations are important in humans, but our laboratory team is studying whether some human patients with difficult-to-control asthma and chronic obstructive pulmonary disease with frequent exacerbations may have intestinal fungal dysbiosis.

What is the focus of your current research?

Using non-culture-based 16S and ITS1 sequencing techniques, our laboratory team is profiling the differences in the intestinal bacterial and fungal microbiota in patients with a variety of obstructive disease phenotypes before and after certain therapeutic alterations. We hope that these studies will ultimately pave the way for clinical trials of therapeutic alteration of the microbiota to eliminate dysbiosis in selected patients with lung disease.

This type analysis is not yet ready for routine clinical use, however. The microbiome has generated an enormous amount of interest from the general public and there are now several companies that will sequence intestinal microbiomes. We simply do not know enough about the gut-lung axis to interpret this data today, although we are hopeful that our understanding will improve with time.

For more information

Skalski JH, et al. Expansion of commensal fungus Wallemia mellicola in the gastrointestinal mycobiota enhances the severity of allergic airway disease in mice. PLOS Pathogens. 2018;20:e1007260.